Antibody data
- Antibody Data
- Antigen structure
- References [0]
- Comments [0]
- Validations
- Western blot [4]
- Immunocytochemistry [1]
- Immunoprecipitation [1]
- Immunohistochemistry [1]
Submit
Validation data
Reference
Comment
Report error
- Product number
- GTX128973 - Provider product page

- Provider
- GeneTex
- Proper citation
- GeneTex Cat#GTX128973, RRID:AB_2810933
- Product name
- Visfatin antibody
- Antibody type
- Polyclonal
- Reactivity
- Human, Mouse, Rat
- Host
- Rabbit
No comments: Submit comment
Supportive validation
- Submitted by
- GeneTex (provider)
- Main image

- Experimental details
- NAMPT antibody detects Visfatin protein by western blot analysis.A NCI-H929 whole cell lysate/extract10 % SDS-PAGEVisfatin antibody (GTX128973) dilution: 1:1000
- Submitted by
- GeneTex (provider)
- Main image

- Experimental details
- Various whole cell extracts (30 £gg) were separated by 10% SDS-PAGE, and the membrane was blotted with Visfatin antibody (GTX128973) diluted at 1:500.
- Submitted by
- GeneTex (provider)
- Main image

- Experimental details
- Mouse tissue extract (50 £gg) was separated by 10% SDS-PAGE, and the membrane was blotted with Visfatin antibody (GTX128973) diluted at 1:500.
- Submitted by
- GeneTex (provider)
- Main image

- Experimental details
- Whole cell extract (30 £gg) was separated by 10% SDS-PAGE, and the membrane was blotted with Visfatin antibody (GTX128973) diluted at 1:500.
Supportive validation
- Submitted by
- GeneTex (provider)
- Main image

- Experimental details
- Visfatin antibody detects Visfatin protein at cytoplasm and nucleus by immunofluorescent analysis.Sample: 293T cells were fixed in ice-cold MeOH for 5 min.Green: Visfatin protein stained by Visfatin antibody (GTX128973) diluted at 1:500.Blue: Hoechst 33342 staining.Scale bar = 10 £gm.
Supportive validation
- Submitted by
- GeneTex (provider)
- Main image

- Experimental details
- Immunoprecipitation of Visfatin protein from 293T whole cell extracts using 5 £gg of Visfatin antibody (GTX128973).Western blot analysis was performed using Visfatin antibody (GTX128973).EasyBlot anti-Rabbit IgG (GTX221666-01) was used as a secondary reagent.
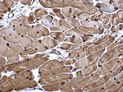
Supportive validation
- Submitted by
- GeneTex (provider)
- Main image

- Experimental details
- Visfatin antibody detects Visfatin protein at cytosol and nucleus on mouse muscle by immunohistochemical analysis. Sample: Paraffin-embedded mouse muscle. Visfatin antibody (GTX128973) dilution: 1:500.