Antibody data
- Antibody Data
- Antigen structure
- References [0]
- Comments [0]
- Validations
- Western blot [1]
- Immunoprecipitation [1]
- Immunohistochemistry [2]
- Flow cytometry [1]
Submit
Validation data
Reference
Comment
Report error
- Product number
- NBP2-76368 - Provider product page

- Provider
- Novus Biologicals
- Product name
- Rabbit Monoclonal PBEF/Visfatin/NAMPT Antibody
- Antibody type
- Monoclonal
- Description
- Antigen Affinity-purified.
- Reactivity
- Human, Mouse
- Host
- Rabbit
- Isotype
- IgG
- Vial size
- 100 ul
- Storage
- Store at 2 - 8 C 1 year from date of receipt
No comments: Submit comment
Supportive validation
- Submitted by
- Novus Biologicals (provider)
- Main image

- Experimental details
- Western Blot: PBEF/Visfatin/NAMPT Antibody (BLR058F) [NBP2-76368] - Detection of human and mouse NAMPT/PBEF/Visfatin by WB of RKO, MCF-7, K-562, GaMG, HEK293T, HeLa, U2OS, LNCaP, Hep-G2, Jurkat, and NIH 3T3 lysate. Antibody: Rabbit anti-NAMPT/PBEF/Visfatin recombinant monoclonal [BLR058F] (NBP2-76368). Secondary: HRP-conjugated goat anti-rabbit IgG (A120-101P). Lower Panel: Rabbit anti-GAPDH.
Supportive validation
- Submitted by
- Novus Biologicals (provider)
- Main image

- Experimental details
- Immunoprecipitation: PBEF/Visfatin/NAMPT Antibody (BLR058F) [NBP2-76368] - Detection of human NAMPT/PBEF/Visfatin by WB of immunoprecipitates from HEK293T lysate. Antibodies: Rabbit anti-NAMPT/PBEF/Visfatin recombinant monoclonal [BLR058F] (NBP2-76368), rabbit anti-NAMPT/PBEF/Visfatin antibodies NB100-594, and one other rabbit anti-NAMPT/PBEF/Visfatin antibody.
Supportive validation
- Submitted by
- Novus Biologicals (provider)
- Main image

- Experimental details
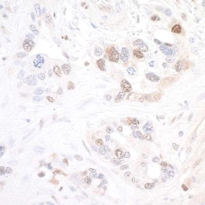
- Immunohistochemistry: PBEF/Visfatin/NAMPT Antibody (BLR058F) [NBP2-76368] - Detection of human NAMPT/PBEF/Visfatin in FFPE breast carcinoma by IHC. Antibody: Rabbit anti-NAMPT/PBEF/Visfatin recombinant monoclonal [BLR058F] (NBP2-76368). Secondary: HRP-conjugated goat anti-rabbit IgG. Substrate: DAB.
- Submitted by
- Novus Biologicals (provider)
- Main image

- Experimental details
- Immunohistochemistry: PBEF/Visfatin/NAMPT Antibody (BLR058F) [NBP2-76368] - Detection of human NAMPT/PBEF/Visfatin in FFPE ovarian carcinoma by IHC. Antibody: Rabbit anti-NAMPT/PBEF/Visfatin recombinant monoclonal [BLR058F] (NBP2-76368). Secondary: HRP-conjugated goat anti-rabbit IgG. Substrate: DAB.
Supportive validation
- Submitted by
- Novus Biologicals (provider)
- Main image

- Experimental details
- Flow Cytometry: PBEF/Visfatin/NAMPT Antibody (BLR058F) [NBP2-76368] - Rabbit antiNAMPT/PBEF/Visfatin recombinant monoclonal [BLR058F] or isotype control (unshaded). Secondary: DyLight® 650-conjugated goat anti-rabbit IgG.