Antibody data
- Antibody Data
- Antigen structure
- References [0]
- Comments [0]
- Validations
- Immunohistochemistry [4]
Submit
Validation data
Reference
Comment
Report error
- Product number
- NLS877 - Provider product page

- Provider
- Novus Biologicals
- Product name
- Rabbit Polyclonal P2Y6/P2RY6 Antibody
- Antibody type
- Polyclonal
- Description
- Immunogen affinity purified. Human P2RY6/ P2Y6. BLAST analysis of the peptide immunogen showed no homology with other human proteins, except HTT (59%).
- Reactivity
- Human, Simian
- Host
- Rabbit
- Isotype
- IgG
- Vial size
- 0.05 ml
- Concentration
- 1.0 mg/ml
- Storage
- Store at 4C short term. Aliquot and store at -20C long term. Avoid freeze-thaw cycles.
No comments: Submit comment
Supportive validation
- Submitted by
- Novus Biologicals (provider)
- Main image

- Experimental details
- Immunohistochemistry-Paraffin: P2Y6/P2RY6 Antibody [NLS877] - Human spleen, red pulp after tissue after heat-induced antigen retrieval
- Submitted by
- Novus Biologicals (provider)
- Main image

- Experimental details
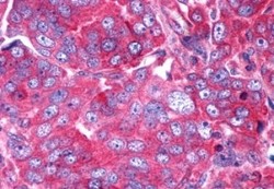
- Immunohistochemistry-Paraffin: P2Y6/P2RY6 Antibody [NLS877] - Analysis of anti-P2RY6 / P2Y6 antibody with human lung, small cell carcinoma.
- Submitted by
- Novus Biologicals (provider)
- Main image

- Experimental details
- Immunohistochemistry-Paraffin: P2Y6/P2RY6 Antibody [NLS877] - Anti-P2RY6 / P2Y6 antibody IHC of human Ovary, Carcinoma. Immunohistochemistry of formalin-fixed, paraffin-embedded tissue after heat-induced antigen retrieval.
- Submitted by
- Novus Biologicals (provider)
- Main image

- Experimental details
- Immunohistochemistry-Paraffin: P2Y6/P2RY6 Antibody [NLS877] - Human Skin, Melanoma after tissue after heat-induced antigen retrieval.