Antibody data
- Antibody Data
- Antigen structure
- References [13]
- Comments [0]
- Validations
- Immunoprecipitation [1]
- Immunohistochemistry [1]
- Blocking/Neutralizing [1]
Submit
Validation data
Reference
Comment
Report error
- Product number
- MAB317-100 - Provider product page

- Provider
- R&D Systems
- Product name
- Human/Primate IL-17/IL-17A Antibody
- Antibody type
- Monoclonal
- Description
- Protein A or G purified from ascites. Detects human and primate IL-17 in direct ELISAs. In direct ELISAs, approximately 12% cross-reactivity with recombinant canine IL-17 is observed and 25%-50% reactivity with recombinant human (rh) IL-17A/IL-17F heterodimer is observed. No cross-reactivity with recombinant mouse IL-17, rhIL-17B, rhIL-17C, rhIL-17D, rhIL-17E, or rhIL-17F is observed.
- Reactivity
- Human, Simian
- Host
- Mouse
- Conjugate
- Unconjugated
- Antigen sequence
Q16552- Isotype
- IgG
- Antibody clone number
- 41809
- Vial size
- 100 ug
- Storage
- Use a manual defrost freezer and avoid repeated freeze-thaw cycles. 12 months from date of receipt, -20 to -70 °C as supplied. 1 month, 2 to 8 °C under sterile conditions after reconstitution. 6 months, -20 to -70 °C under sterile conditions after reconstitution.
Submitted references Serial Monitoring of Immune Markers Being Represented Regulatory T Cell/T Helper 17 Cell Ratio: Indicating Tolerance for Tapering Immunosuppression after Liver Transplantation.
IL-33 Attenuates Sepsis by Inhibiting IL-17 Receptor Signaling through Upregulation of SOCS3.
Interleukin-10 and prostaglandin E2 have complementary but distinct suppressive effects on Toll-like receptor-mediated dendritic cell activation in ovarian carcinoma.
Interleukin 17 inhibits progenitor cells in rheumatoid arthritis cartilage.
Reference range and short- and long-term biological variation of interleukin (IL)-6, IL-17A and tissue necrosis factor-alpha using high sensitivity assays.
IL-10 suppresses Th17 cells and promotes regulatory T cells in the CD4+ T cell population of rheumatoid arthritis patients.
Cytokine-induced CEACAM1 expression on keratinocytes is characteristic for psoriatic skin and contributes to a prolonged lifespan of neutrophils.
Genome-wide comparison between IL-17A- and IL-17F-induced effects in human rheumatoid arthritis synoviocytes.
Identification of functional roles for both IL-17RB and IL-17RA in mediating IL-25-induced activities.
IL-17RA and IL-17RC receptors are essential for IL-17A-induced ELR+ CXC chemokine expression in synoviocytes and are overexpressed in rheumatoid blood.
Ultrasensitive flow-based immunoassays using single-molecule counting.
IL-17 enhances the net angiogenic activity and in vivo growth of human non-small cell lung cancer in SCID mice through promoting CXCR-2-dependent angiogenesis.
IL-15 and the initiation of cell contact-dependent synovial fibroblast-T lymphocyte cross-talk in rheumatoid arthritis: effect of methotrexate.
Jhun J, Lee SH, Lee SK, Kim HY, Jung ES, Kim DG, Choi J, Bae SH, Yoon SK, Chung BH, Yang CW, Cho ML, Choi JY
Frontiers in immunology 2018;9:352
Frontiers in immunology 2018;9:352
IL-33 Attenuates Sepsis by Inhibiting IL-17 Receptor Signaling through Upregulation of SOCS3.
Lv R, Zhao J, Lei M, Xiao D, Yu Y, Xie J
Cellular physiology and biochemistry : international journal of experimental cellular physiology, biochemistry, and pharmacology 2017;42(5):1961-1972
Cellular physiology and biochemistry : international journal of experimental cellular physiology, biochemistry, and pharmacology 2017;42(5):1961-1972
Interleukin-10 and prostaglandin E2 have complementary but distinct suppressive effects on Toll-like receptor-mediated dendritic cell activation in ovarian carcinoma.
Brencicova E, Jagger AL, Evans HG, Georgouli M, Laios A, Attard Montalto S, Mehra G, Spencer J, Ahmed AA, Raju-Kankipati S, Taams LS, Diebold SS
PloS one 2017;12(4):e0175712
PloS one 2017;12(4):e0175712
Interleukin 17 inhibits progenitor cells in rheumatoid arthritis cartilage.
Schminke B, Trautmann S, Mai B, Miosge N, Blaschke S
European journal of immunology 2016 Feb;46(2):440-5
European journal of immunology 2016 Feb;46(2):440-5
Reference range and short- and long-term biological variation of interleukin (IL)-6, IL-17A and tissue necrosis factor-alpha using high sensitivity assays.
Todd J, Simpson P, Estis J, Torres V, Wub AH
Cytokine 2013 Dec;64(3):660-5
Cytokine 2013 Dec;64(3):660-5
IL-10 suppresses Th17 cells and promotes regulatory T cells in the CD4+ T cell population of rheumatoid arthritis patients.
Heo YJ, Joo YB, Oh HJ, Park MK, Heo YM, Cho ML, Kwok SK, Ju JH, Park KS, Cho SG, Park SH, Kim HY, Min JK
Immunology letters 2010 Jan 4;127(2):150-6
Immunology letters 2010 Jan 4;127(2):150-6
Cytokine-induced CEACAM1 expression on keratinocytes is characteristic for psoriatic skin and contributes to a prolonged lifespan of neutrophils.
Rahmoun M, Molès JP, Pedretti N, Mathieu M, Fremaux I, Raison-Peyron N, Lecron JC, Yssel H, Pène J
The Journal of investigative dermatology 2009 Mar;129(3):671-81
The Journal of investigative dermatology 2009 Mar;129(3):671-81
Genome-wide comparison between IL-17A- and IL-17F-induced effects in human rheumatoid arthritis synoviocytes.
Zrioual S, Ecochard R, Tournadre A, Lenief V, Cazalis MA, Miossec P
Journal of immunology (Baltimore, Md. : 1950) 2009 Mar 1;182(5):3112-20
Journal of immunology (Baltimore, Md. : 1950) 2009 Mar 1;182(5):3112-20
Identification of functional roles for both IL-17RB and IL-17RA in mediating IL-25-induced activities.
Rickel EA, Siegel LA, Yoon BR, Rottman JB, Kugler DG, Swart DA, Anders PM, Tocker JE, Comeau MR, Budelsky AL
Journal of immunology (Baltimore, Md. : 1950) 2008 Sep 15;181(6):4299-310
Journal of immunology (Baltimore, Md. : 1950) 2008 Sep 15;181(6):4299-310
IL-17RA and IL-17RC receptors are essential for IL-17A-induced ELR+ CXC chemokine expression in synoviocytes and are overexpressed in rheumatoid blood.
Zrioual S, Toh ML, Tournadre A, Zhou Y, Cazalis MA, Pachot A, Miossec V, Miossec P
Journal of immunology (Baltimore, Md. : 1950) 2008 Jan 1;180(1):655-63
Journal of immunology (Baltimore, Md. : 1950) 2008 Jan 1;180(1):655-63
Ultrasensitive flow-based immunoassays using single-molecule counting.
Todd J, Freese B, Lu A, Held D, Morey J, Livingston R, Goix P
Clinical chemistry 2007 Nov;53(11):1990-5
Clinical chemistry 2007 Nov;53(11):1990-5
IL-17 enhances the net angiogenic activity and in vivo growth of human non-small cell lung cancer in SCID mice through promoting CXCR-2-dependent angiogenesis.
Numasaki M, Watanabe M, Suzuki T, Takahashi H, Nakamura A, McAllister F, Hishinuma T, Goto J, Lotze MT, Kolls JK, Sasaki H
Journal of immunology (Baltimore, Md. : 1950) 2005 Nov 1;175(9):6177-89
Journal of immunology (Baltimore, Md. : 1950) 2005 Nov 1;175(9):6177-89
IL-15 and the initiation of cell contact-dependent synovial fibroblast-T lymphocyte cross-talk in rheumatoid arthritis: effect of methotrexate.
Miranda-Carús ME, Balsa A, Benito-Miguel M, Pérez de Ayala C, Martín-Mola E
Journal of immunology (Baltimore, Md. : 1950) 2004 Jul 15;173(2):1463-76
Journal of immunology (Baltimore, Md. : 1950) 2004 Jul 15;173(2):1463-76
No comments: Submit comment
Supportive validation
- Submitted by
- R&D Systems (provider)
- Main image

- Experimental details
- Immunoprecipitation of Human IL-17. Human IL-17 was immunoprecipitated from 100 μg of human primary differentiated Th17 cell lysate following incubation with 3 µg Mouse Anti-Human/Primate IL-17 Monoclonal Antibody (Catalog # MAB317) or isotype control antibody (Catalog # MAB004) overnight at 4 °C. IL-17-antibody complexes were absorbed using anti-mouse agarose beads. Immunoprecipitated IL-17 was detected by Western blot using 1 µg/mL Goat Anti-Human IL-17 Antigen Affinity-purified Polyclonal Antibody (Catalog # AF-317-NA). View our recommended buffer recipes for immunoprecipitation.
Supportive validation
- Submitted by
- R&D Systems (provider)
- Main image

- Experimental details
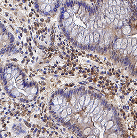
- IL-17/IL-17A in Human Crohn's Disease Intestine. IL-17/IL-17A was detected in immersion fixed paraffin-embedded sections of human Crohn's disease intestine using Mouse Anti-Human/Primate IL-17/IL-17A Monoclonal Antibody (Catalog # MAB317) at 5 µg/mL for 1 hour at room temperature followed by incubation with the Anti-Mouse IgG VisUCyte™ HRP Polymer Antibody (Catalog # VC001). Tissue was stained using DAB (brown) and counterstained with hematoxylin (blue). Specific staining was localized to lymphocytes. View our protocol for IHC Staining with VisUCyte HRP Polymer Detection Reagents.
Supportive validation
- Submitted by
- R&D Systems (provider)
- Main image

- Experimental details
- IL-6 Secretion Induced by IL-17 and Neutralization by Human IL-17 Antibody. Recombinant Human IL-17 (Catalog # 317-ILB) stimulates IL-6 secretion in the NIH-3T3 mouse embryonic fibroblast cell line in a dose-dependent manner (orange line), as measured by the Mouse IL-6 Quantikine ELISA Kit (Catalog # M6000B). IL-6 secretion elicited by Recombinant Human IL-17 (15 ng/mL) is neutralized (green line) by increasing concentrations of Mouse Anti-Human/Primate IL-17 Monoclonal Antibody (Catalog # MAB317). The ND50 is typically 1-3 µg/mL.