Antibody data
- Antibody Data
- Antigen structure
- References [0]
- Comments [0]
- Validations
- Immunocytochemistry [3]
- Immunohistochemistry [4]
Submit
Validation data
Reference
Comment
Report error
- Product number
- PA5-54874 - Provider product page

- Provider
- Invitrogen Antibodies
- Product name
- RUNDC1 Polyclonal Antibody
- Antibody type
- Polyclonal
- Antigen
- Recombinant protein fragment
- Description
- Immunogen sequence: VSQFGCATGQ IPPTLWQRVQ ADRDYSPLLK RLEVSVDRVK QLALRQQPHD HVITSANLQD LSLGGKDELT MAVRKELTVA VRDLLAHGLY ASSPGMSLVM APIACLLP Highest antigen sequence identity to the following orthologs: Mouse - 92%, Rat - 94%.
- Reactivity
- Human
- Host
- Rabbit
- Isotype
- IgG
- Vial size
- 100 μL
- Concentration
- 0.1 mg/mL
- Storage
- Store at 4°C short term. For long term storage, store at -20°C, avoiding freeze/thaw cycles.
No comments: Submit comment
Supportive validation
- Submitted by
- Invitrogen Antibodies (provider)
- Main image

- Experimental details
- Immunofluorescent staining of RUNDC1 in human cell line A-431 shows positivity in cytoplasm & nucleus but excluded from the nucleoli. Samples were probed using a RUNDC1 Polyclonal Antibody (Product # PA5-54874).
- Submitted by
- Invitrogen Antibodies (provider)
- Main image

- Experimental details
- Immunofluorescent staining of RUNDC1 in human cell line A-431 using a RUNDC1 Polyclonal Antibody (Product # PA5-54874) shows localization to nuclear speckles and cytosol.
- Submitted by
- Invitrogen Antibodies (provider)
- Main image

- Experimental details
- Immunofluorescent staining of RUNDC1 in human cell line A-431 using a RUNDC1 Polyclonal Antibody (Product # PA5-54874) shows localization to nuclear speckles and cytosol.
Supportive validation
- Submitted by
- Invitrogen Antibodies (provider)
- Main image

- Experimental details
- Immunohistochemical analysis of RUNDC1 in human lymph node using RUNDC1 Polyclonal Antibody (Product # PA5-54874) shows strong cytoplasmic positivity in lymphoid cells.
- Submitted by
- Invitrogen Antibodies (provider)
- Main image

- Experimental details
- Immunohistochemical analysis of RUNDC1 in human lymph node using RUNDC1 Polyclonal Antibody (Product # PA5-54874) shows strong cytoplasmic positivity in non-germinal center cells.
- Submitted by
- Invitrogen Antibodies (provider)
- Main image

- Experimental details
- Immunohistochemical analysis of RUNDC1 in human fallopian tube using RUNDC1 Polyclonal Antibody (Product # PA5-54874) shows strong cytoplasmic positivity in a subset of glandular cells.
- Submitted by
- Invitrogen Antibodies (provider)
- Main image

- Experimental details
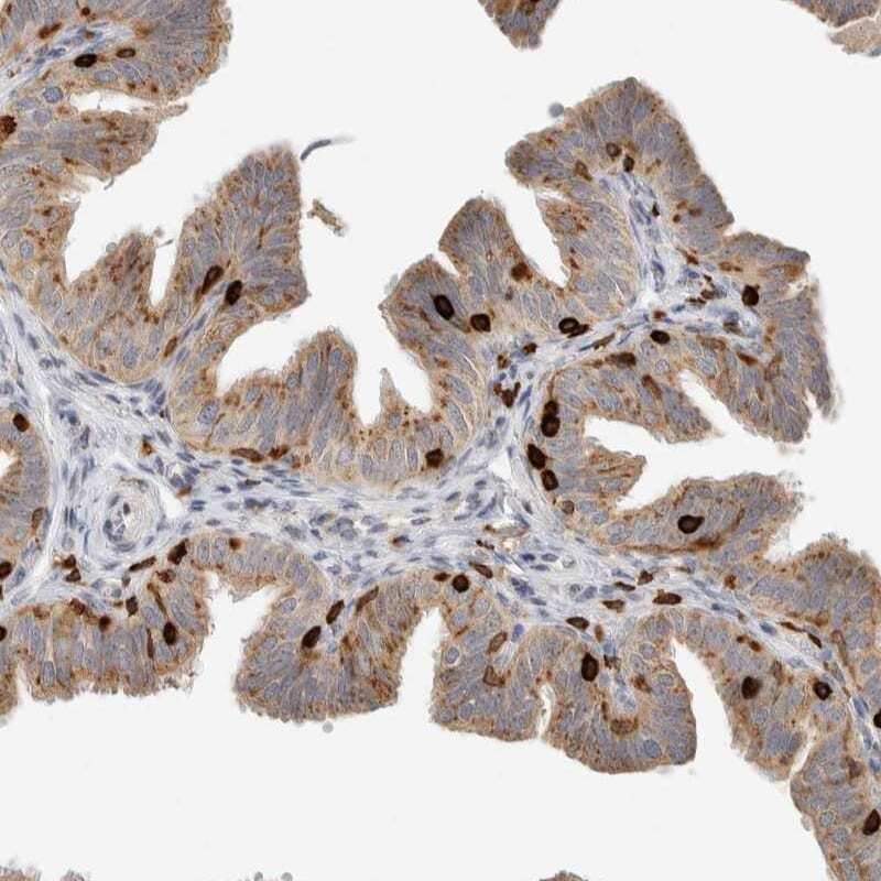
- Immunohistochemical analysis of RUNDC1 in human prostate using RUNDC1 Polyclonal Antibody (Product # PA5-54874) shows strong cytoplasmic positivity in glandular cells.