Antibody data
- Antibody Data
- Antigen structure
- References [0]
- Comments [0]
- Validations
- Immunocytochemistry [2]
- Immunohistochemistry [9]
Submit
Validation data
Reference
Comment
Report error
- Product number
- PA1-32706 - Provider product page

- Provider
- Invitrogen Antibodies
- Product name
- TPRA1 Polyclonal Antibody
- Antibody type
- Polyclonal
- Antigen
- Synthetic peptide
- Description
- PA1-32706 detects GPCR LOC51210 from human samples.
- Reactivity
- Human
- Host
- Rabbit
- Isotype
- IgG
- Vial size
- 25 µg
- Concentration
- 1 mg/mL
- Storage
- Store at 4°C short term. For long term storage, store at -20°C, avoiding freeze/thaw cycles.
No comments: Submit comment
Supportive validation
- Submitted by
- Invitrogen Antibodies (provider)
- Main image

- Experimental details
- Immunocytochemistry analysis of HEK293 transfected with GPR175 using TPRA1 Polyclonal Antibody (Product # PA1-32706).
- Submitted by
- Invitrogen Antibodies (provider)
- Main image

- Experimental details
- Immunocytochemistry analysis of HEK293 transfected with GPR175 using TPRA1 Polyclonal Antibody (Product # PA1-32706).
Supportive validation
- Submitted by
- Invitrogen Antibodies (provider)
- Main image

- Experimental details
- Immunohistochemistry (Paraffin) analysis of TPRA1 in human kidney tissue using TPRA1 Polyclonal Antibody (Product # PA1-32706). Antigen retrival : Heat-induced antigen retrieval.
- Submitted by
- Invitrogen Antibodies (provider)
- Main image

- Experimental details
- Immunohistochemical (Paraffin) analysis of brain, amygdala tissue using (Product # PA1-32706) TPRA1 Polyclonal Antibody.
- Submitted by
- Invitrogen Antibodies (provider)
- Main image

- Experimental details
- Immunohistochemical (Paraffin) analysis of brain, medulla tissue using (Product # PA1-32706) TPRA1 Polyclonal Antibody.
- Submitted by
- Invitrogen Antibodies (provider)
- Main image

- Experimental details
- Immunohistochemical (Paraffin) analysis of human brain, glioblastoma tissue using (Product # PA1-32706) TPRA1 Polyclonal Antibody. Antigen retrieval: Heat-induced antigen retrieval.
- Submitted by
- Invitrogen Antibodies (provider)
- Main image

- Experimental details
- Immunohistochemical (Paraffin) analysis of human breast, carcinoma tissue using (Product # PA1-32706) TPRA1 Polyclonal Antibody. Antigen retrieval: Heat-induced antigen retrieval.
- Submitted by
- Invitrogen Antibodies (provider)
- Main image

- Experimental details
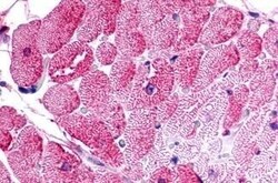
- Immunohistochemical (Paraffin) analysis of human heart tissue using (Product # PA1-32706) TPRA1 Polyclonal Antibody. Antigen retrieval: Heat-induced antigen retrieval.
- Submitted by
- Invitrogen Antibodies (provider)
- Main image

- Experimental details
- Immunohistochemical (Paraffin) analysis of human kidney tissue using (Product # PA1-32706) TPRA1 Polyclonal Antibody. Antigen retrieval: Heat-induced antigen retrieval.
- Submitted by
- Invitrogen Antibodies (provider)
- Main image

- Experimental details
- Immunohistochemical (Paraffin) analysis of human lung, adenocarcinoma tissue using (Product # PA1-32706) TPRA1 Polyclonal Antibody. Antigen retrieval: Heat-induced antigen retrieval.
- Submitted by
- Invitrogen Antibodies (provider)
- Main image

- Experimental details
- Immunohistochemical (Paraffin) analysis of human pancreas, carcinoma tissue using (Product # PA1-32706) TPRA1 Polyclonal Antibody. Antigen retrieval: Heat-induced antigen retrieval.