Antibody data
- Antibody Data
- Antigen structure
- References [1]
- Comments [0]
- Validations
- Western blot [1]
- Immunohistochemistry [1]
Submit
Validation data
Reference
Comment
Report error
- Product number
- GTX104390 - Provider product page

- Provider
- GeneTex
- Proper citation
- GeneTex Cat#GTX104390, RRID:AB_1950467
- Product name
- GSTA4 antibody [N1C3]
- Antibody type
- Polyclonal
- Reactivity
- Human, Porcine
- Host
- Rabbit
Submitted references Effect of dietary distillers dried grains with solubles on indicators of oxidative stress and immune function in growing pigs
Weber T, Kerr B
Livestock Science 2011 December;142(1-3):85-91
Livestock Science 2011 December;142(1-3):85-91
No comments: Submit comment
Supportive validation
- Submitted by
- GeneTex (provider)
- Main image

- Experimental details
- Sample (30 ug of whole cell lysate) A: 293T 12% SDS PAGE GST A4 antibody GTX104390 diluted at 1:1000
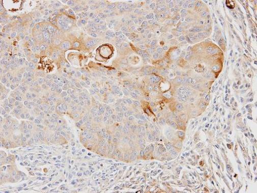
Supportive validation
- Submitted by
- GeneTex (provider)
- Main image

- Experimental details
- Immunohistochemical analysis of paraffin-embedded SW480 xenograft, using GSTA4(GTX104390) antibody at 1:100 dilution.