Antibody data
- Antibody Data
- Antigen structure
- References [1]
- Comments [0]
- Validations
- Western blot [3]
- Immunohistochemistry [1]
Submit
Validation data
Reference
Comment
Report error
- Product number
- NBP1-68861 - Provider product page

- Provider
- Novus Biologicals
- Proper citation
- Novus Cat#NBP1-68861, RRID:AB_11027086
- Product name
- Goat Polyclonal GPM6A Antibody
- Antibody type
- Polyclonal
- Description
- Immunogen affinity purified. This antibody is expected to recognize all reported isoforms (NP_005268.1
- Reactivity
- Human, Mouse, Rat
- Host
- Goat
- Antigen sequence
C-QTYFEMARTAGD- Isotype
- IgG
- Vial size
- 0.1 mg
- Concentration
- 0.5 mg/ml
- Storage
- Store at -20C. Avoid freeze-thaw cycles.
Submitted references Genomic variation associated with mortality among adults of European and African ancestry with heart failure: the cohorts for heart and aging research in genomic epidemiology consortium.
Morrison AC, Felix JF, Cupples LA, Glazer NL, Loehr LR, Dehghan A, Demissie S, Bis JC, Rosamond WD, Aulchenko YS, Wang YA, Haritunians T, Folsom AR, Rivadeneira F, Benjamin EJ, Lumley T, Couper D, Stricker BH, O'Donnell CJ, Rice KM, Chang PP, Hofman A, Levy D, Rotter JI, Fox ER, Uitterlinden AG, Wang TJ, Psaty BM, Willerson JT, van Duijn CM, Boerwinkle E, Witteman JC, Vasan RS, Smith NL
Circulation. Cardiovascular genetics 2010 Jun;3(3):248-55
Circulation. Cardiovascular genetics 2010 Jun;3(3):248-55
No comments: Submit comment
Supportive validation
- Submitted by
- Novus Biologicals (provider)
- Main image

- Experimental details
- Western Blot: GPM6A Antibody [NBP1-68861] - NBP1-68861 (0.5ug/ml) staining of Rat Brain lysate (35ug protein in RIPA buffer). Primary incubation was 1 hour. Detected by chemiluminescence.
- Submitted by
- Novus Biologicals (provider)
- Main image

- Experimental details
- Western Blot: GPM6A Antibody [NBP1-68861] - Staining of Human Cerebellum (A) and Olfactory Bulb (B) lysates (35ug protein in RIPA buffer). Primary incubation was 1 hour. Detected by chemiluminescence.
- Submitted by
- Novus Biologicals (provider)
- Main image

- Experimental details
- Western Blot: GPM6A Antibody [NBP1-68861] - Staining of fetal Mouse (A) and Rat (B) Brain lysates (35ug protein in RIPA buffer). Primary incubation was 1 hour. Detected by chemiluminescence.
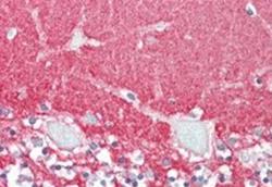
Supportive validation
- Submitted by
- Novus Biologicals (provider)
- Main image

- Experimental details
- Immunohistochemistry-Paraffin: GPM6A Antibody [NBP1-68861] - Staining of paraffin embedded Human Cerebellum at dilution of 3.75ug/ml. Steamed antigen retrieval with citrate buffer pH 6, AP-staining.