Antibody data
- Antibody Data
- Antigen structure
- References [0]
- Comments [0]
- Validations
- Western blot [1]
- Immunohistochemistry [2]
Submit
Validation data
Reference
Comment
Report error
- Product number
- GTX111035 - Provider product page

- Provider
- GeneTex
- Proper citation
- GeneTex Cat#GTX111035, RRID:AB_1952680
- Product name
- ZNF346 antibody [N1C3]
- Antibody type
- Polyclonal
- Reactivity
- Human, Rat
- Host
- Rabbit
No comments: Submit comment
Supportive validation
- Submitted by
- GeneTex (provider)
- Main image

- Experimental details
- Sample (30 ug of whole cell lysate) A: Hela B: Hep G2 (GTX27900) 12% SDS PAGE GTX111035 diluted at 1:5000
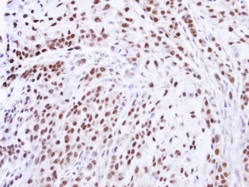
Supportive validation
- Submitted by
- GeneTex (provider)
- Main image

- Experimental details
- Immunohistochemical analysis of paraffin-embedded A549 xenograft , using ZNF346(GTX111035) antibody at 1:100 dilution.
- Submitted by
- GeneTex (provider)
- Main image

- Experimental details
- ZNF346 antibody [N1C3] detects ZNF346 protein at cytoplasm and nucleus in rat brain by immunohistochemical analysis. Sample: Paraffin-embedded rat brain. ZNF346 antibody [N1C3] (GTX111035) diluted at 1:500.