Antibody data
- Antibody Data
 - Antigen structure
 - References [0]
 - Comments [0]
 - Validations
 - Western blot [1]
 - Immunohistochemistry [2]
 
Submit
Validation data
Reference
Comment
Report error
- Product number
 - LS-C403063 - Provider product page

 - Provider
 - LSBio
 - Product name
 - CHRDL2 Antibody LS-C403063
 - Antibody type
 - Polyclonal
 - Description
 - Affinity purification
 - Reactivity
 - Human
 - Host
 - Rabbit
 - Isotype
 - IgG
 - Storage
 - Store at -20°C. Avoid freeze-thaw cycles.
 
				No comments: Submit comment	
	
			
							
					Enhanced validation
					
									
				
				- Submitted by
 - LSBio (provider)
 - Enhanced method
 - Genetic validation
 - Main image
 
- Experimental details
 - Western blot analysis of Human fetal brain tissue, using CHRDL2 Polyclonal Antibody at dilution of 1:600.
 
							
					Supportive validation
					
									
				
		- Submitted by
 - LSBio (provider)
 - Enhanced method
 - Genetic validation
 - Main image
 
- Experimental details
 - Immunohistochemistry of paraffin-embedded Human thyroid cancer using CHRDL2 Polyclonal Antibody at dilution of 1:20.
 
- Submitted by
 - LSBio (provider)
 - Enhanced method
 - Genetic validation
 - Main image
 
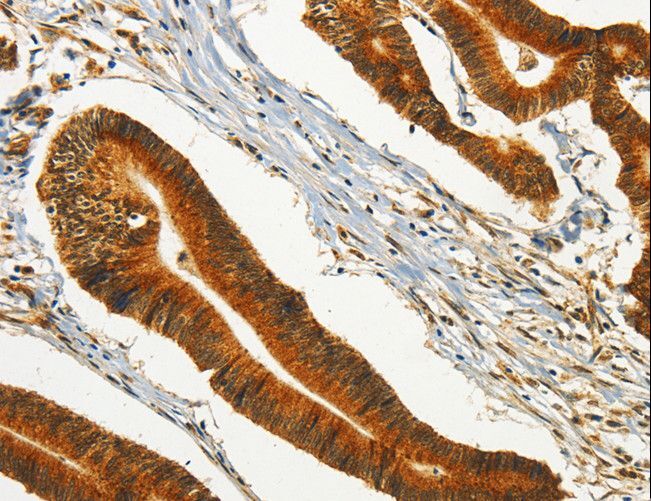
- Experimental details
 - Immunohistochemistry of paraffin-embedded Human colon cancer using CHRDL2 Polyclonal Antibody at dilution of 1:20.