NBP1-84913
antibody from Novus Biologicals
Targeting: RUVBL1
ECP54, INO80H, NMP238, Pontin52, RVB1, TIH1, TIP49, TIP49a
Antibody data
- Antibody Data
- Antigen structure
- References [0]
- Comments [0]
- Validations
- Immunohistochemistry [9]
Submit
Validation data
Reference
Comment
Report error
- Product number
- NBP1-84913 - Provider product page
- Provider
- Novus Biologicals
- Proper citation
- Novus Cat#NBP1-84913, RRID:AB_11040314
- Product name
- Rabbit Polyclonal RUVBL1 Antibody
- Antibody type
- Polyclonal
- Description
- Immunogen affinity purified. Specificity of human RUVBL1 antibody verified on a Protein Array containing target protein plus 383 other non-specific proteins.
- Reactivity
- Human
- Host
- Rabbit
- Isotype
- IgG
- Vial size
- 0.1 ml
- Storage
- Store at 4C short term. Aliquot and store at -20C long term. Avoid freeze-thaw cycles.
No comments: Submit comment
Supportive validation
- Submitted by
- Novus Biologicals (provider)
- Main image
- Experimental details
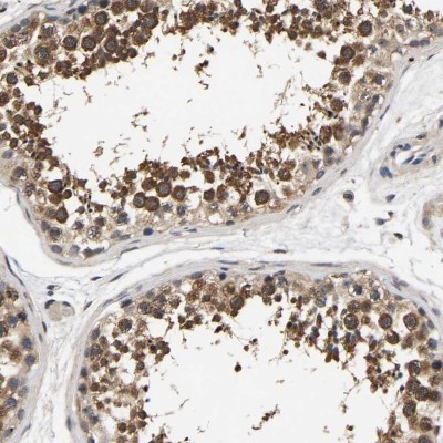
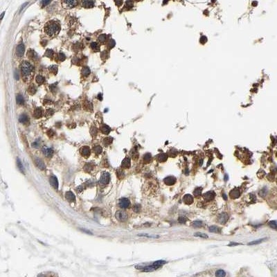
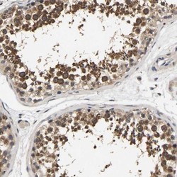
- Immunohistochemistry-Paraffin: RUVBL1 Antibody [NBP1-84913] - Staining of human testis shows moderate cytoplasmic positivity in cells in seminiferous ducts.
- Submitted by
- Novus Biologicals (provider)
- Main image
- Experimental details
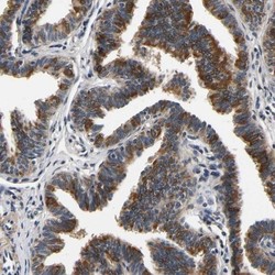
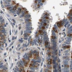
- Immunohistochemistry-Paraffin: RUVBL1 Antibody [NBP1-84913] - Staining of human fallopian tube shows high expression.
- Submitted by
- Novus Biologicals (provider)
- Main image
- Experimental details
- Immunohistochemistry-Paraffin: RUVBL1 Antibody [NBP1-84913] - Staining of human skeletal muscle shows low expression as expected.
- Submitted by
- Novus Biologicals (provider)
- Main image
- Experimental details
- Immunohistochemistry-Paraffin: RUVBL1 Antibody [NBP1-84913] - Staining of human testis.
- Submitted by
- Novus Biologicals (provider)
- Main image
- Experimental details
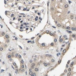
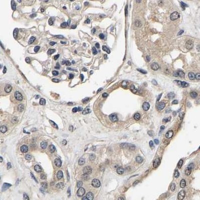
- Immunohistochemistry-Paraffin: RUVBL1 Antibody [NBP1-84913] - Staining of human kidney.
- Submitted by
- Novus Biologicals (provider)
- Main image
- Experimental details
- Immunohistochemistry-Paraffin: RUVBL1 Antibody [NBP1-84913] - Staining of human lymph node.
- Submitted by
- Novus Biologicals (provider)
- Main image
- Experimental details
- Immunohistochemistry-Paraffin: RUVBL1 Antibody [NBP1-84913] - Staining in human fallopian tube and skeletal muscle tissues using anti-RUVBL1 antibody. Corresponding RUVBL1 RNA-seq data are presented for the same tissues.
- Submitted by
- Novus Biologicals (provider)
- Main image
- Experimental details
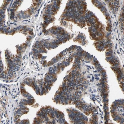
- Immunohistochemistry-Paraffin: RUVBL1 Antibody [NBP1-84913] - Staining of human fallopian tube, kidney, lymph node and testis using Anti-RUVBL1 antibody NBP1-84913 (A) shows similar protein distribution across tissues to independent antibody NBP1-84914 (B).
- Submitted by
- Novus Biologicals (provider)
- Main image
- Experimental details
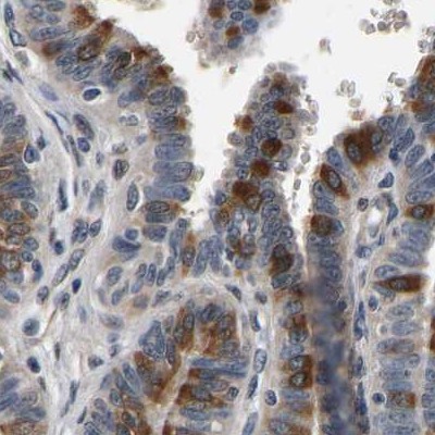
- Immunohistochemistry-Paraffin: RUVBL1 Antibody [NBP1-84913] - Staining of human fallopian tube using Anti-RUVBL1 antibody NBP1-84913.