Antibody data
- Antibody Data
- Antigen structure
- References [9]
- Comments [0]
- Validations
- Western blot [1]
- Immunohistochemistry [2]
Submit
Validation data
Reference
Comment
Report error
- Product number
- 15154-1-AP - Provider product page

- Provider
- Proteintech Group
- Proper citation
- Proteintech Cat#15154-1-AP, RRID:AB_2300322
- Product name
- PSMB2 antibody
- Antibody type
- Polyclonal
- Description
- KD/KO validated PSMB2 antibody (Cat. #15154-1-AP) is a rabbit polyclonal antibody that shows reactivity with human and has been validated for the following applications: IF, IHC, WB, ELISA.
- Reactivity
- Human
- Host
- Rabbit
- Conjugate
- Unconjugated
- Isotype
- IgG
- Vial size
- 20ul, 150ul
Submitted references Suppressing proteasome activity enhances sensitivity to actinomycin D in diffuse anaplastic Wilms tumor.
Pharmacological induction of autophagy reduces inflammation in macrophages by degrading immunoproteasome subunits.
Actinomycin D and bortezomib disrupt protein homeostasis in Wilms tumor.
PTEN status determines therapeutic vulnerability to celastrol in cholangiocarcinoma.
Molecular alteration of the proteasome contributes to AD-like pathology in the brain of HFD-STZ diabetic rats.
Inhibition of the Proteasome Regulator PA28 Aggravates Oxidized Protein Overload in the Diabetic Rat Brain.
Selective Inhibition of the Immunoproteasome β5i Prevents PTEN Degradation and Attenuates Cardiac Hypertrophy.
Proteasome Subunits Differentially Control Myeloma Cell Viability and Proteasome Inhibitor Sensitivity.
NUDT21 negatively regulates PSMB2 and CXXC5 by alternative polyadenylation and contributes to hepatocellular carcinoma suppression.
Tiburcio PDB, Chen K, Xu L, Chen KS
Cell reports. Medicine 2025 May 20;6(5):102133
Cell reports. Medicine 2025 May 20;6(5):102133
Pharmacological induction of autophagy reduces inflammation in macrophages by degrading immunoproteasome subunits.
Zhou J, Li C, Lu M, Jiang G, Chen S, Li H, Lu K
PLoS biology 2024 Mar;22(3):e3002537
PLoS biology 2024 Mar;22(3):e3002537
Actinomycin D and bortezomib disrupt protein homeostasis in Wilms tumor.
Tiburcio PDB, Chen K, Xu L, Chen KS
bioRxiv : the preprint server for biology 2024 Dec 17;
bioRxiv : the preprint server for biology 2024 Dec 17;
PTEN status determines therapeutic vulnerability to celastrol in cholangiocarcinoma.
Pan YF, Zhong L, Wang M, Jiang TY, Lin YK, Chen YB, Li X, Hu HP, Zhou HB, Yan HZ, Dong LW
Phytomedicine : international journal of phytotherapy and phytopharmacology 2024 Aug;131:155790
Phytomedicine : international journal of phytotherapy and phytopharmacology 2024 Aug;131:155790
Molecular alteration of the proteasome contributes to AD-like pathology in the brain of HFD-STZ diabetic rats.
Gao H, Zhou Y, Jin PS, Wu DG, Wang YN, Zhao X, Zhao B
Metabolic brain disease 2023 Mar;38(3):1013-1024
Metabolic brain disease 2023 Mar;38(3):1013-1024
Inhibition of the Proteasome Regulator PA28 Aggravates Oxidized Protein Overload in the Diabetic Rat Brain.
Wu DG, Wang YN, Zhou Y, Gao H, Zhao B
Cellular and molecular neurobiology 2023 Aug;43(6):2857-2869
Cellular and molecular neurobiology 2023 Aug;43(6):2857-2869
Selective Inhibition of the Immunoproteasome β5i Prevents PTEN Degradation and Attenuates Cardiac Hypertrophy.
Xie X, Wang HX, Li N, Deng YW, Bi HL, Zhang YL, Xia YL, Li HH
Frontiers in pharmacology 2020;11:885
Frontiers in pharmacology 2020;11:885
Proteasome Subunits Differentially Control Myeloma Cell Viability and Proteasome Inhibitor Sensitivity.
Shi CX, Zhu YX, Bruins LA, Bonolo de Campos C, Stewart W, Braggio E, Stewart AK
Molecular cancer research : MCR 2020 Oct;18(10):1453-1464
Molecular cancer research : MCR 2020 Oct;18(10):1453-1464
NUDT21 negatively regulates PSMB2 and CXXC5 by alternative polyadenylation and contributes to hepatocellular carcinoma suppression.
Tan S, Li H, Zhang W, Shao Y, Liu Y, Guan H, Wu J, Kang Y, Zhao J, Yu Q, Gu Y, Ding K, Zhang M, Qian W, Zhu Y, Cai H, Chen C, Lobie PE, Zhao X, Sun J, Zhu T
Oncogene 2018 Aug;37(35):4887-4900
Oncogene 2018 Aug;37(35):4887-4900
No comments: Submit comment
Supportive validation
- Submitted by
- Proteintech Group (provider)
- Main image

- Experimental details
- Jurkat cells were subjected to SDS PAGE followed by western blot with 15154-1-AP(PSMB2 antibody) at dilution of 1:800
- Sample type
- cell line
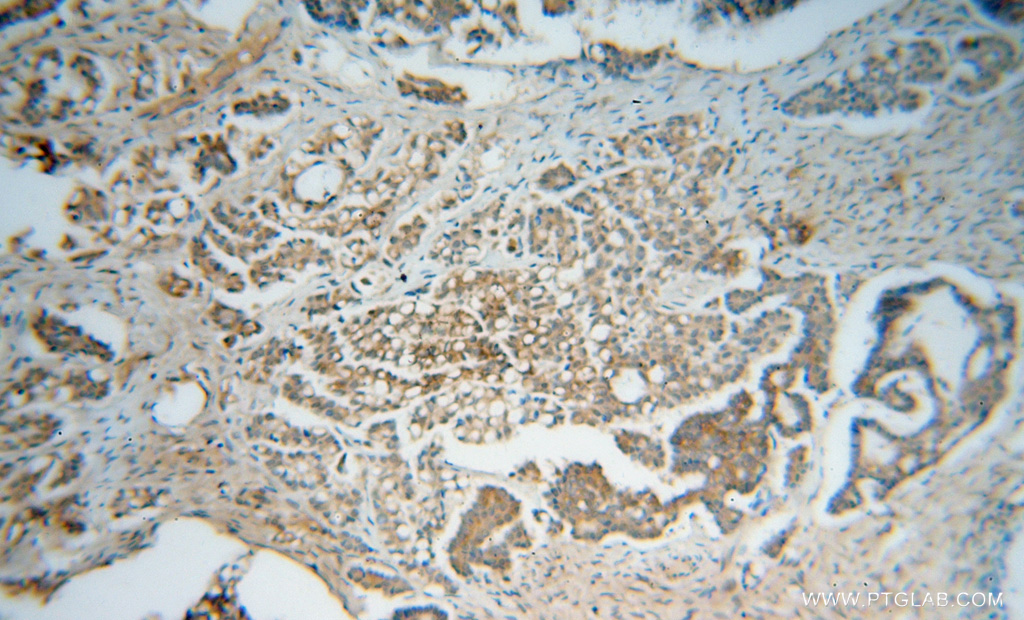
Supportive validation
- Submitted by
- Proteintech Group (provider)
- Main image

- Experimental details
- Immunohistochemical of paraffin-embedded human ovary tumor using 15154-1-AP(PSMB2 antibody) at dilution of 1:50 (under 10x lens)
- Sample type
- tissue
- Submitted by
- Proteintech Group (provider)
- Main image

- Experimental details
- The PSMB2 antibody from Proteintech is a rabbit polyclonal antibody to a recombinant protein of human PSMB2. This antibody recognizes human,mouse,rat antigen. The PSMB2 antibody has been validated for the following applications: ELISA, WB, IHC analysis.