Antibody data
- Antibody Data
- Antigen structure
- References [0]
- Comments [0]
- Validations
- Immunocytochemistry [1]
- Immunohistochemistry [4]
Submit
Validation data
Reference
Comment
Report error
- Product number
- PA5-55375 - Provider product page

- Provider
- Invitrogen Antibodies
- Product name
- APRT Polyclonal Antibody
- Antibody type
- Polyclonal
- Antigen
- Recombinant protein fragment
- Description
- Immunogen sequence: MADSELQLVE QRIRSFPDFP TPGVVFRDIS PVLKDPASFR AAIGLLARHL KATHGGRIDY IAGD Highest antigen sequence identity to the following orthologs: Mouse - 73%, Rat - 78%.
- Reactivity
- Human
- Host
- Rabbit
- Isotype
- IgG
- Vial size
- 100 μL
- Concentration
- 0.05 mg/mL
- Storage
- Store at 4°C short term. For long term storage, store at -20°C, avoiding freeze/thaw cycles.
No comments: Submit comment
Supportive validation
- Submitted by
- Invitrogen Antibodies (provider)
- Main image

- Experimental details
- Immunofluorecent analysis of APRT in human cell line U-2 OS using APRT Polyclonal Antibody (Product # PA5-55375). Staining shows localization to nucleoplasm and cytosol.
Supportive validation
- Submitted by
- Invitrogen Antibodies (provider)
- Main image

- Experimental details
- Immunohistochemical analysis of APRT in human fallopian tube using APRT Polyclonal Antibody (Product # PA5-55375) shows moderate cytoplasmic positivity in glandular cells.
- Submitted by
- Invitrogen Antibodies (provider)
- Main image

- Experimental details
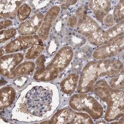
- Immunohistochemical analysis of APRT in human kidney using APRT Polyclonal Antibody (Product # PA5-55375) shows moderate cytoplasmic positivity in cells in tubules.
- Submitted by
- Invitrogen Antibodies (provider)
- Main image

- Experimental details
- Immunohistochemical analysis of APRT in human prostate using APRT Polyclonal Antibody (Product # PA5-55375) shows moderate cytoplasmic positivity in glandular cells.
- Submitted by
- Invitrogen Antibodies (provider)
- Main image

- Experimental details
- Immunohistochemical analysis of APRT in human testis using APRT Polyclonal Antibody (Product # PA5-55375) shows moderate cytoplasmic positivity in cells in seminiferous ducts and Leydig cells.