Antibody data
- Antibody Data
- Antigen structure
- References [0]
- Comments [0]
- Validations
- Western blot [3]
- Immunohistochemistry [8]
Submit
Validation data
Reference
Comment
Report error
- Product number
- ABIN2506554 - Provider product page

- Provider
- antibodies-online
- Product name
- anti-Transforming Growth Factor beta 1 Induced Transcript 1 (TGFB1I1) antibody
- Antibody type
- Polyclonal
- Antigen
- The antiserum was produced against synthesized peptide derived from Internal of human HIC-5.
- Description
- The antibody was affinity-purified from rabbit antiserum by affinity-chromatography using epitope-specific immunogen.
- Reactivity
- Human, Mouse, Rat
- Host
- Rabbit
- Isotype
- IgG
- Vial size
- 100 μg
- Storage
- Store at -20°C/1 year
No comments: Submit comment
Supportive validation
- Submitted by
- antibodies-online (provider)
- Main image

- Experimental details
- WB analysis of mouse liver (lane 1), rat stomach (lane 2), mouse stomach (lane 3), rat spleen (lane 4), rat brain (lane 5) using IL6 antibody (1 ug/ml)
- Submitted by
- antibodies-online (provider)
- Main image

- Experimental details
- Western blot analysis of mouse liver (lane 1), rat stomach (lane 2), mouse stomach (lane 3), rat spleen (lane 4) using IL6 antibody (1 ug/ml)
- Submitted by
- antibodies-online (provider)
- Main image

- Experimental details
- Western blot analysis of rat kidney (Lane 1), liver (Lane 2),lung (Lane 3),brain (Lane 4) using IL6 antibody
Supportive validation
- Submitted by
- antibodies-online (provider)
- Main image

- Experimental details
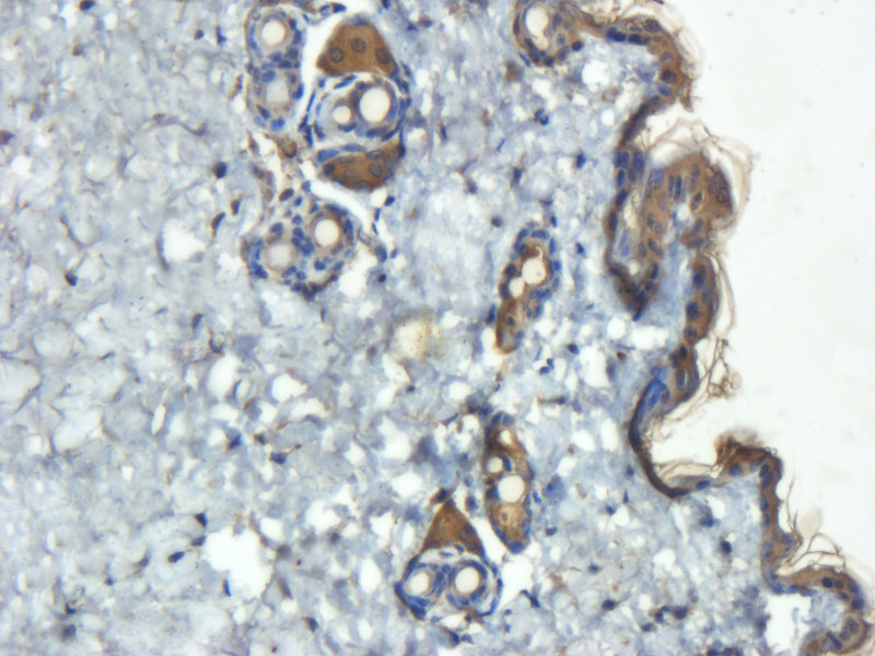
- IHC-P staining of mouse skin tissue using anti-IL6 (dilution at 1:200)
- Submitted by
- antibodies-online (provider)
- Main image

- Experimental details
- Immunohistochemical staining of mouse skin tissue using anti-IL6 (dilution of primary antibody - 1:200)
- Submitted by
- antibodies-online (provider)
- Main image

- Experimental details
- Immunohistochemical staining of mouse skin tissue using IL6 antibody (2.5 ug/ml)
- Submitted by
- antibodies-online (provider)
- Main image

- Experimental details
- IHC-P staining of mouse lung tissue using IL6 antibody (dilution at 1:200)
- Submitted by
- antibodies-online (provider)
- Main image

- Experimental details
- IHC-P staining of mouse liver tissue using IL6 antibody (dilution at 1:200)
- Submitted by
- antibodies-online (provider)
- Main image

- Experimental details
- Immunohistochemical staining of rat skin tissue using anti-IL6 (dilution of primary antibody - 1:200)
- Submitted by
- antibodies-online (provider)
- Main image

- Experimental details
- Immunohistochemical staining of paraffin embedded mouse skin tissue using anti-IL6 (2.5 ug/ml)
- Submitted by
- antibodies-online (provider)
- Main image

- Experimental details
- Immunohistochemical staining of paraffin embedded rat liver tissue using IL6 antibody (primary antibody at 1:200)