Antibody data
- Antibody Data
- Antigen structure
- References [0]
- Comments [0]
- Validations
- Western blot [1]
- Immunohistochemistry [4]
Submit
Validation data
Reference
Comment
Report error
- Product number
- NBP1-93494 - Provider product page

- Provider
- Novus Biologicals
- Proper citation
- Novus Cat#NBP1-93494, RRID:AB_11006297
- Product name
- Rabbit Polyclonal HROB Antibody
- Antibody type
- Polyclonal
- Description
- Immunogen affinity purified. Specificity of human C17orf53 antibody verified on a Protein Array containing target protein plus 383 other non-specific proteins.
- Reactivity
- Human
- Host
- Rabbit
- Isotype
- IgG
- Vial size
- 0.1 ml
- Storage
- Store at 4C short term. Aliquot and store at -20C long term. Avoid freeze-thaw cycles.
No comments: Submit comment
Supportive validation
- Submitted by
- Novus Biologicals (provider)
- Main image

- Experimental details
- Western Blot: HROB Antibody [NBP1-93494] - Lane 1: Marker [kDa] 230, 130, 95, 72, 56, 36, 28, 17, 11. Lane 2: Human cell line RT-72
Supportive validation
- Submitted by
- Novus Biologicals (provider)
- Main image

- Experimental details
- Immunohistochemistry-Paraffin: HROB Antibody [NBP1-93494] - Staining of human cerebellum shows moderate cytoplasmic positivity.
- Submitted by
- Novus Biologicals (provider)
- Main image

- Experimental details
- Immunohistochemistry-Paraffin: HROB Antibody [NBP1-93494] - Staining of human colon shows moderate cytoplasmic positivity in glandular cells.
- Submitted by
- Novus Biologicals (provider)
- Main image

- Experimental details
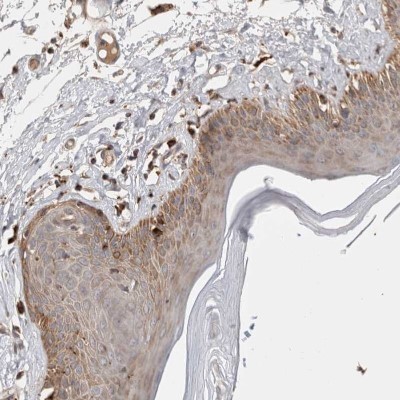
- Immunohistochemistry-Paraffin: HROB Antibody [NBP1-93494] - Staining of human skin shows moderate cytoplasmic positivity in squamous epithelial cells.
- Submitted by
- Novus Biologicals (provider)
- Main image

- Experimental details
- Immunohistochemistry-Paraffin: HROB Antibody [NBP1-93494] - Staining of human testis shows strong granular cytoplasmic positivity in cells in seminiferous ducts.