Antibody data
- Antibody Data
- Antigen structure
- References [0]
- Comments [0]
- Validations
- Western blot [3]
- Immunohistochemistry [3]
- Other assay [1]
Submit
Validation data
Reference
Comment
Report error
- Product number
- A303-562A - Provider product page

- Provider
- Invitrogen Antibodies
- Product name
- PARN Polyclonal Antibody
- Antibody type
- Polyclonal
- Antigen
- Other
- Reactivity
- Human, Mouse
- Host
- Rabbit
- Isotype
- IgG
- Vial size
- 100 µL
- Concentration
- 1 mg/mL
- Storage
- 4° C
No comments: Submit comment
Supportive validation
- Submitted by
- Invitrogen Antibodies (provider)
- Main image

- Experimental details
- Detection of human PARN by western blot. Samples: Whole cell lysate (10 µg) from LNCaP, MCF-7, Hep-G2, HeLa, and HEK293T cells prepared using NETN lysis buffer. Antibody: Affinity purified rabbit anti-PARN antibody (Product # A303-562A lot 2) used for WB at 0.1 µg/mL. Detection: Chemiluminescence with an exposure time of 30 seconds.
- Submitted by
- Invitrogen Antibodies (provider)
- Main image

- Experimental details
- Detection of mouse PARN by western blot. Samples: Whole cell lysate (10 µg) from CH27, TCMK-1, and BW5147.3 cells prepared using NETN lysis buffer. Antibody: Affinity purified rabbit anti-PARN antibody (Product # A303-562A lot 2) used for WB at 0.1 µg/mL. Detection: Chemiluminescence with an exposure time of 3 minutes.
- Submitted by
- Invitrogen Antibodies (provider)
- Main image

- Experimental details
- Detection of human PARN by western blot and immunoprecipitation. Samples: Whole cell lysate from HeLa (15 and 50 µg for WB; 1 mg for IP, 20% of IP loaded), 293T (T; 50 µg) and Jurkat (J; 50 µg) cells. Antibodies: Affinity purified rabbit anti-PARN antibody A303-562A used for WB at 0.1 µg/ml (A) and 1 µg/ml (B) and used for IP at 6 µg/mg lysate. PARN was also immunoprecipitated by rabbit anti-PARN antibody A303-561A, which recognizes an upstream epitope. Detection: Chemiluminescence with exposure times of 3 minutes (A) and 3 seconds (B).
Supportive validation
- Submitted by
- Invitrogen Antibodies (provider)
- Main image

- Experimental details
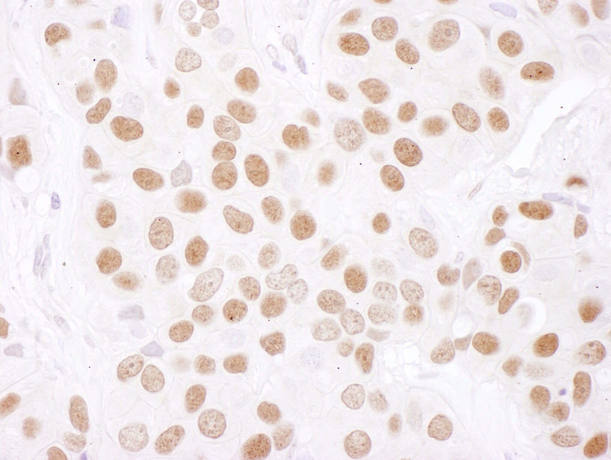
- Detection of human PARN by immunohistochemistry. Sample: FFPE section of human breast carcinoma. Antibody: Affinity purified rabbit anti-PARN (Product # A303-562A; lot 2) used at a dilution of 1:1,000 (1 µg/mL). Detection: DAB. Counterstain: Hematoxylin (blue).
- Submitted by
- Invitrogen Antibodies (provider)
- Main image

- Experimental details
- Detection of mouse PARN by immunohistochemistry. Sample: FFPE section of mouse renal cell carcinoma. Antibody: Affinity purified rabbit anti- PARN (Cat. No. A303-562A Lot1) used at a dilution of 1:1,000 (1µg/ml). Detection: DAB.
- Submitted by
- Invitrogen Antibodies (provider)
- Main image

- Experimental details
- Detection of human PARN by immunohistochemistry. Sample: FFPE section of human breast carcinoma. Antibody: Affinity purified rabbit anti- PARN (Cat. No. A303-562A Lot1) used at a dilution of 1:1,000 (1µg/ml). Detection: DAB. Counterstain: Hematoxylin (blue).
Supportive validation
- Submitted by
- Invitrogen Antibodies (provider)
- Main image

- Experimental details
- Detection of human PARN by western blot of immunoprecipitates. Samples: Whole cell lysate (1.0 mg per IP reaction; 5% of IP loaded) from HEK293T cells prepared using NETN lysis buffer. Antibodies: Affinity purified rabbit anti-PARN antibody (Product # A303-562A lot 2) used for IP at 6 µg per reaction. PARN was also immunoprecipitated by a previous lot of this antibody (A303-562A lot 1) and a second antibody against a different epitope of PARN (Product # A303-561A). For blotting immunoprecipitated PARN (Product # A303-562A) was used at 0.1 µg/mL. Detection: Chemiluminescence with an exposure time of 3 seconds.