Antibody data
- Antibody Data
- Antigen structure
- References [0]
- Comments [0]
- Validations
- Western blot [1]
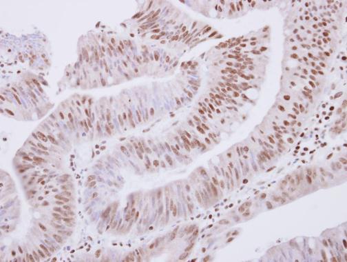
- Immunohistochemistry [1]
Submit
Validation data
Reference
Comment
Report error
- Product number
- GTX116267 - Provider product page

- Provider
- GeneTex
- Proper citation
- GeneTex Cat#GTX116267, RRID:AB_11166253
- Product name
- ZNF434 antibody
- Antibody type
- Polyclonal
- Reactivity
- Human
- Host
- Rabbit
No comments: Submit comment
Supportive validation
- Submitted by
- GeneTex (provider)
- Main image

- Experimental details
- Sample (30 ug of whole cell lysate) A: THP-1 B: HL-60 7.5% SDS PAGE GTX116267 diluted at 1:2000
Supportive validation
- Submitted by
- GeneTex (provider)
- Main image

- Experimental details
- Immunohistochemical analysis of paraffin-embedded human colon carcinoma, using ZNF434(GTX116267) antibody at 1:250 dilution.