Antibody data
- Antibody Data
- Antigen structure
- References [0]
- Comments [0]
- Validations
- Western blot [1]
- Immunocytochemistry [1]
- Immunohistochemistry [1]
Submit
Validation data
Reference
Comment
Report error
- Product number
- PAB28117 - Provider product page

- Provider
- Abnova Corporation
- Product name
- DEDD2 polyclonal antibody
- Antibody type
- Polyclonal
- Antigen
- Recombinant protein corresponding to amino acids of recombinant DEDD2.
- Reactivity
- Human
- Host
- Rabbit
- Antigen sequence
VRAEYCEHGPALEQGVASRRPQALARQLDVFGQAT
AVLRSRDLGSVVCDIKFSEL- Isotype
- IgG
- Vial size
- 100 μl
- Storage
- Store at 4°C. For long term storage store at -20°C.Aliquot to avoid repeated freezing and thawing.
No comments: Submit comment
Supportive validation
- Submitted by
- Abnova Corporation (provider)
- Main image

- Experimental details
- Western blot analysis of Lane 1: Negative control (vector only transfected HEK293T lysate), Lane 2: Over-expression Lysate (Co-expressed with a C-terminal myc-DDK tag (~3.1 kDa) in mammalian HEK293T cells) with DEDD2 polyclonal antibody (Cat # PAB28117) at 1:100-1:250 dilution.
Supportive validation
- Submitted by
- Abnova Corporation (provider)
- Main image

- Experimental details
- Immunofluorescent staining of human cell line U-2 OS with DEDD2 polyclonal antibody (Cat # PAB28117) at 1-4 ug/mL dilution shows positivity in nucleus but not nucleoli.
- Validation comment
- Immunofluorescence
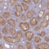
Supportive validation
- Submitted by
- Abnova Corporation (provider)
- Main image

- Experimental details
- Immunohistochemical staining of human kidney with DEDD2 polyclonal antibody (Cat # PAB28117) shows moderate membranous and cytoplasmic positivity in renal tubules at 1:20-1:50 dilution.
- Validation comment
- Immunohistochemistry (Formalin/PFA-fixed paraffin-embedded sections)