Antibody data
- Antibody Data
- Antigen structure
- References [1]
- Comments [0]
- Validations
- Immunohistochemistry [6]
Submit
Validation data
Reference
Comment
Report error
- Product number
- NLS272 - Provider product page

- Provider
- Novus Biologicals
- Product name
- Rabbit Polyclonal V2 Vasopressin R/AVPR2 Antibody
- Antibody type
- Polyclonal
- Description
- Immunogen affinity purified. Human AVPR2. BLAST analysis of the peptide immunogen showed no homology with other human proteins.
- Reactivity
- Human, Mouse, Rat, Hamster, Rabbit, Simian
- Host
- Rabbit
- Isotype
- IgG
- Vial size
- 0.05 ml
- Concentration
- 1.0 mg/ml
- Storage
- Store at 4C short term. Aliquot and store at -20C long term. Avoid freeze-thaw cycles.
Submitted references Oligodendroglial alpha-synucleinopathy and MSA-like cardiovascular autonomic failure: experimental evidence.
Kuzdas D, Stemberger S, Gaburro S, Stefanova N, Singewald N, Wenning GK
Experimental neurology 2013 Sep;247:531-6
Experimental neurology 2013 Sep;247:531-6
No comments: Submit comment
Supportive validation
- Submitted by
- Novus Biologicals (provider)
- Main image

- Experimental details
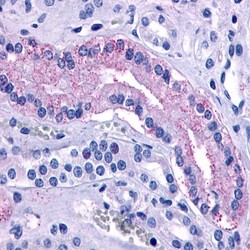
- Immunohistochemistry-Paraffin: V2 Vasopressin R/AVPR2 Antibody [NLS272] - Analysis of anti-AVPR2 antibody with human kidney, renal tubules.
- Submitted by
- Novus Biologicals (provider)
- Main image

- Experimental details
- Immunohistochemistry-Paraffin: V2 Vasopressin R/AVPR2 Antibody [NLS272] - Human Breast, Carcinoma tissue after heat-induced antigen retrieval.
- Submitted by
- Novus Biologicals (provider)
- Main image

- Experimental details
- Immunohistochemistry-Paraffin: V2 Vasopressin R/AVPR2 Antibody [NLS272] - Human Lung, Adenocarcinoma tissue after heat-induced antigen retrieval.
- Submitted by
- Novus Biologicals (provider)
- Main image

- Experimental details
- Immunohistochemistry-Paraffin: V2 Vasopressin R/AVPR2 Antibody [NLS272] - Ovary, carcinoma
- Submitted by
- Novus Biologicals (provider)
- Main image

- Experimental details
- Immunohistochemistry-Paraffin: V2 Vasopressin R/AVPR2 Antibody [NLS272] - Prostate, Carcinoma
- Submitted by
- Novus Biologicals (provider)
- Main image

- Experimental details
- Immunohistochemistry-Paraffin: V2 Vasopressin R/AVPR2 Antibody [NLS272] - Colon, carcinoma