Antibody data
- Antibody Data
- Antigen structure
- References [0]
- Comments [0]
- Validations
- Western blot [1]
- Immunohistochemistry [1]
Submit
Validation data
Reference
Comment
Report error
- Product number
- LS-C155752 - Provider product page

- Provider
- LSBio
- Product name
- Anti-CERCAM Antibody LS-C155752
- Antibody type
- Polyclonal
- Description
- Immunoaffinity purified
- Reactivity
- Human
- Host
- Rabbit
- Isotype
- IgG
- Vial size
- 100µl
- Storage
- Aliquot and freeze at -20° C. Avoid freeze-thaw cycles.
No comments: Submit comment
Supportive validation
- Submitted by
- LSBio (provider)
- Main image

- Experimental details
- Sample (30 ug of whole cell lysate) A: U87-MG 7.5% SDS PAGE CERCAM1 antibody diluted at 1:1000
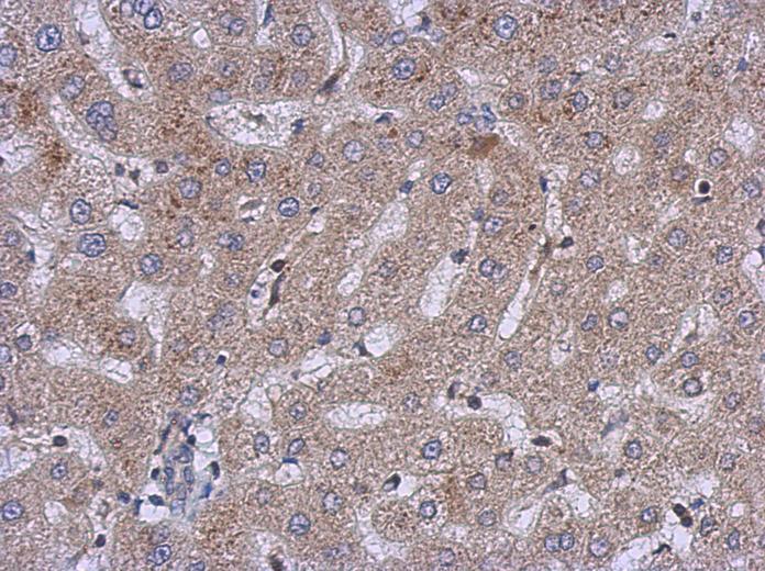
Supportive validation
- Submitted by
- LSBio (provider)
- Main image

- Experimental details
- IHC of paraffin-embedded Hepatoma, using CERCAM antibody at 1:500 dilution.