Antibody data
- Antibody Data
- Antigen structure
- References [0]
- Comments [0]
- Validations
- Western blot [2]
- Immunohistochemistry [2]
Submit
Validation data
Reference
Comment
Report error
- Product number
- LS-C155753 - Provider product page

- Provider
- LSBio
- Product name
- CERCAM Antibody LS-C155753
- Antibody type
- Polyclonal
- Description
- Immunoaffinity purified
- Reactivity
- Human, Mouse
- Host
- Rabbit
- Isotype
- IgG
- Storage
- Aliquot and freeze at -20°C. Avoid freeze-thaw cycles.
No comments: Submit comment
Enhanced validation
- Submitted by
- LSBio (provider)
- Enhanced method
- Genetic validation
- Main image

- Experimental details
- Sample (30 ug of whole cell lysate) A: U87-MG 7.5% SDS PAGE CERCAM1 antibody diluted at 1:1000
- Submitted by
- LSBio (provider)
- Enhanced method
- Genetic validation
- Main image

- Experimental details
- CERCAM antibody detects CERCAM protein by Western blot analysis. A. 50 ug mouse brain lysate/extract7.5 % SDS-PAGECERCAM antibody dilution: 1:500
Supportive validation
- Submitted by
- LSBio (provider)
- Enhanced method
- Genetic validation
- Main image

- Experimental details
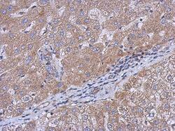
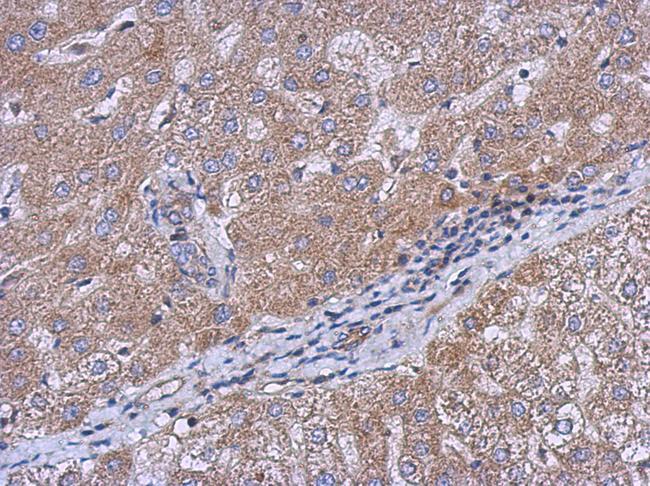
- IHC of paraffin-embedded Hepatoma, using CERCAM antibody at 1:500 dilution.
- Submitted by
- LSBio (provider)
- Enhanced method
- Genetic validation
- Main image

- Experimental details
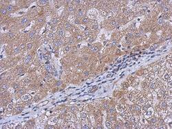
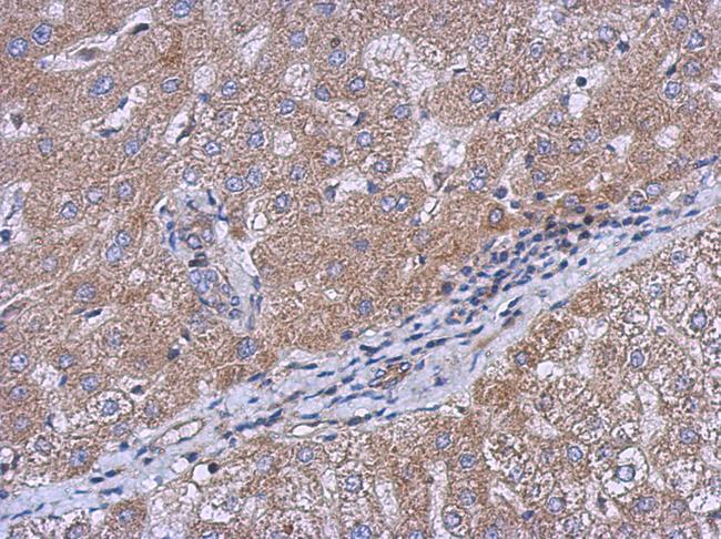
- IHC of paraffin-embedded Hepatoma, using CERCAM antibody at 1:500 dilution.