Antibody data
- Antibody Data
- Antigen structure
- References [0]
- Comments [0]
- Validations
- Western blot [3]
- Immunohistochemistry [1]
Submit
Validation data
Reference
Comment
Report error
- Product number
- NBP2-15857 - Provider product page

- Provider
- Novus Biologicals
- Product name
- Rabbit Polyclonal CEECAM1 Antibody
- Antibody type
- Polyclonal
- Description
- Immunogen affinity purified.
- Reactivity
- Human, Mouse, Rat
- Host
- Rabbit
- Isotype
- IgG
- Vial size
- 0.1 ml
- Storage
- Aliquot and store at -20C or -80C. Avoid freeze-thaw cycles.
No comments: Submit comment
Supportive validation
- Submitted by
- Novus Biologicals (provider)
- Main image

- Experimental details
- Western Blot: CEECAM1 Antibody [NBP2-15857] - A. 50 ug mouse brain lysate/extract 7. 5 % SDS-PAGE antibody dilution: 1:500.
- Submitted by
- Novus Biologicals (provider)
- Main image

- Experimental details
- Western Blot: CEECAM1 Antibody [NBP2-15857] - Sample (30 ug of whole cell lysate) A: U87-MG 7. 5% SDS PAGE gel, diluted at 1:1000.
- Submitted by
- Novus Biologicals (provider)
- Main image

- Experimental details
- Western Blot: CEECAM1 Antibody [NBP2-15857] - CEECAM1 antibody detects CEECAM1 protein by Western blot analysis. A. 30 ug GL261 whole cell lysate/extract. B. 30 ug C8D30 whole cell lysate/extract. C. 30 ug NIH-3T3 whole cell lysate/extract. 7.5 % SDS-PAGE. CEECAM1 antibody dilution: 1:500
Supportive validation
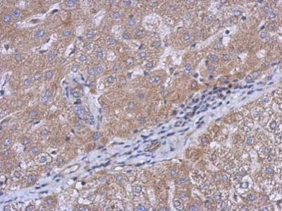
- Submitted by
- Novus Biologicals (provider)
- Main image

- Experimental details
- Immunohistochemistry-Paraffin: CEECAM1 Antibody [NBP2-15857] - Immunohistochemical analysis of paraffin-embedded human hepatoma, using CEECAM1 antibody at 1:500 dilution.