Antibody data
- Antibody Data
- Antigen structure
- References [0]
- Comments [0]
- Validations
- Western blot [3]
- Immunohistochemistry [2]
Submit
Validation data
Reference
Comment
Report error
- Product number
- GTX123293 - Provider product page

- Provider
- GeneTex
- Proper citation
- GeneTex Cat#GTX123293, RRID:AB_11176542
- Product name
- CERCAM antibody
- Antibody type
- Polyclonal
- Reactivity
- Human, Mouse, Rat
- Host
- Rabbit
No comments: Submit comment
Supportive validation
- Submitted by
- GeneTex (provider)
- Main image

- Experimental details
- Sample (30 ug of whole cell lysate) A: U87-MG 7.5% SDS PAGE GTX123293 diluted at 1:1000
- Validation comment
- WB
- Submitted by
- GeneTex (provider)
- Main image

- Experimental details
- CERCAM antibody detects CERCAM protein by Western blot analysis.A. 30 ?g GL261 whole cell lysate/extract B. 30 ?g C8D30 whole cell lysate/extract C. 30 ?g NIH-3T3 whole cell lysate/extract7.5 % SDS-PAGECERCAM antibody (GTX123293) dilution: 1:500
- Submitted by
- GeneTex (provider)
- Main image

- Experimental details
- CERCAM antibody detects CERCAM protein by Western blot analysis.A. 50 ?g mouse brain lysate/extract7.5 % SDS-PAGECERCAM antibody (GTX123293) dilution: 1:500
Supportive validation
- Submitted by
- GeneTex (provider)
- Main image

- Experimental details
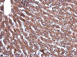
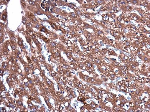
- Immunohistochemical analysis of paraffin-embedded human hepatoma, using CERCAM(GTX123293) antibody at 1:500 dilution.
- Submitted by
- GeneTex (provider)
- Main image

- Experimental details
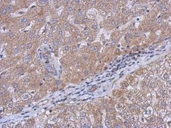
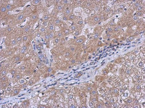
- CERCAM antibody detects CERCAM protein at cytoplasm in rat liver by immunohistochemical analysis. Sample: Paraffin-embedded rat liver. CERCAM antibody (GTX123293) diluted at 1:500.