LS-C389020
antibody from LSBio
Targeting: TP63
EEC3, KET, NBP, OFC8, p51, p53CP, p63, p73H, p73L, SHFM4, TP53CP, TP53L, TP73L
Antibody data
- Antibody Data
- Antigen structure
- References [0]
- Comments [0]
- Validations
- Western blot [1]
- Immunocytochemistry [2]
- Immunohistochemistry [8]
Submit
Validation data
Reference
Comment
Report error
- Product number
- LS-C389020 - Provider product page

- Provider
- LSBio
- Product name
- TP63 / p63 Antibody (aa664-680) LS-C389020
- Antibody type
- Polyclonal
- Description
- Immunoaffinity purified
- Reactivity
- Human, Bovine, Canine, Chicken/Avian, Guinea Pig, Horse, Porcine, Rabbit, Sheep
- Host
- Rabbit
- Isotype
- IgG
- Storage
- Prior to reconstitution, 4°C. Following reconstitution store at -20°C. Avoid freeze-thaw cycles.
No comments: Submit comment
Enhanced validation
- Submitted by
- LSBio (provider)
- Enhanced method
- Genetic validation
- Main image

- Experimental details
- Western blot testing of p63 antibody; Lane 1: HeLa; 2: SMMC-7721; 3: COLO320; 4: A549; 5: SGC cell lysate
Supportive validation
- Submitted by
- LSBio (provider)
- Enhanced method
- Genetic validation
- Main image

- Experimental details
- ICC testing of A549 cells
- Submitted by
- LSBio (provider)
- Main image

- Experimental details
- ICC testing of A549 cells
Supportive validation
- Submitted by
- LSBio (provider)
- Enhanced method
- Genetic validation
- Main image

- Experimental details
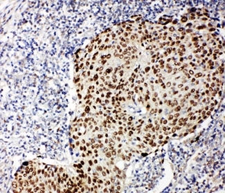
- IHC-P: p63 antibody testing of human esophageal squamous cell carcinoma tissue
- Submitted by
- LSBio (provider)
- Enhanced method
- Genetic validation
- Main image

- Experimental details
- IHC-P: p63 antibody testing of human esophageal squamous cell carcinoma tissue
- Submitted by
- LSBio (provider)
- Enhanced method
- Genetic validation
- Main image

- Experimental details
- IHC-P testing of human lung cancer tissue
- Submitted by
- LSBio (provider)
- Enhanced method
- Genetic validation
- Main image

- Experimental details
- IHC-P: p63 antibody testing of human esophageal squamous cell carcinoma tissue
- Submitted by
- LSBio (provider)
- Enhanced method
- Genetic validation
- Main image

- Experimental details
- IHC-P testing of human lung cancer tissue
- Submitted by
- LSBio (provider)
- Enhanced method
- Genetic validation
- Main image

- Experimental details
- IHC-P: p63 antibody testing of human esophageal squamous cell carcinoma tissue
- Submitted by
- LSBio (provider)
- Enhanced method
- Genetic validation
- Main image

- Experimental details
- IHC-P: p63 antibody testing of human esophageal squamous cell carcinoma tissue
- Submitted by
- LSBio (provider)
- Enhanced method
- Genetic validation
- Main image

- Experimental details
- IHC-P testing of human lung cancer tissue