Antibody data
- Antibody Data
- Antigen structure
- References [0]
- Comments [0]
- Validations
- Western blot [1]
- Immunocytochemistry [1]
- Immunohistochemistry [4]
- Flow cytometry [3]
Submit
Validation data
Reference
Comment
Report error
- Product number
- RQ6586 - Provider product page

- Provider
- NSJ Bioreagents
- Product name
- LSM8 Antibody
- Antibody type
- Monoclonal
- Description
- This highly specific LSM8 antibody is suitable for use in Western blot/Immunohistochemistry/Immunofluorescence/Flow cytometry applications with human, mouse and rat samples.
- Reactivity
- Human, Mouse, Rat
- Host
- Mouse
- Conjugate
- Unconjugated
- Antibody clone number
- 6B11
- Vial size
- 100 ug
- Concentration
- 0.5mg/ml if reconstituted with 0.2ml sterile DI water
- Storage
- After reconstitution, the LSM8 antibody can be stored for up to one month at 4oC. For long-term, aliquot and store at -20oC. Avoid repeated freezing and thawing.
No comments: Submit comment
Supportive validation
- Submitted by
- NSJ Bioreagents (provider)
- Main image

- Experimental details
- Western blot testing of 1) human HL60, 2) human Jurkat, 3) human ThP-1, 4) human K562, 5) rat testis, 6) rat pancreas, 7) mouse testis and 8) mouse pancreas tissue lysate with LSM8 antibody. Predicted molecular weight ~11 kDa.
Supportive validation
- Submitted by
- NSJ Bioreagents (provider)
- Main image

- Experimental details
- Immunofluorescent staining of FFPE human HeLa cells with LSM8 antibody (green) and DAPI nuclear stain (blue). HIER: steam section in pH6 citrate buffer for 20 min.
Supportive validation
- Submitted by
- NSJ Bioreagents (provider)
- Main image

- Experimental details
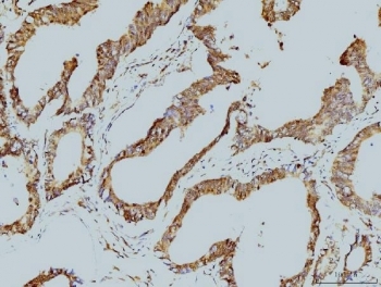
- IHC staining of FFPE human colonic adenocarcinoma tissue with LSM8 antibody. HIER: boil tissue sections in pH8 EDTA for 20 min and allow to cool before testing.
- Submitted by
- NSJ Bioreagents (provider)
- Main image

- Experimental details
- IHC staining of FFPE human placental tissue with LSM8 antibody. HIER: boil tissue sections in pH8 EDTA for 20 min and allow to cool before testing.
- Submitted by
- NSJ Bioreagents (provider)
- Main image

- Experimental details
- IHC staining of FFPE human renal clear cell carcinoma tissue with LSM8 antibody. HIER: boil tissue sections in pH8 EDTA for 20 min and allow to cool before testing.
- Submitted by
- NSJ Bioreagents (provider)
- Main image

- Experimental details
- IHC staining of FFPE human spleen tissue with LSM8 antibody. HIER: boil tissue sections in pH8 EDTA for 20 min and allow to cool before testing.
Supportive validation
- Submitted by
- NSJ Bioreagents (provider)
- Main image

- Experimental details
- Flow cytometry testing of human JK-1 cells with LSM8 antibody at 1ug/million cells (blocked with goat sera); Red=cells alone, Green=isotype control, Blue= LSM8 antibody.
- Submitted by
- NSJ Bioreagents (provider)
- Main image

- Experimental details
- Flow cytometry testing of mouse RAW264.7 cells with LSM8 antibody at 1ug/million cells (blocked with goat sera); Red=cells alone, Green=isotype control, Blue= LSM8 antibody.
- Submitted by
- NSJ Bioreagents (provider)
- Main image

- Experimental details
- Flow cytometry testing of rat RH35 cells with LSM8 antibody at 1ug/million cells (blocked with goat sera); Red=cells alone, Green=isotype control, Blue= LSM8 antibody.