Antibody data
- Antibody Data
- Antigen structure
- References [1]
- Comments [0]
- Validations
- Western blot [2]
- Immunohistochemistry [1]
Submit
Validation data
Reference
Comment
Report error
- Product number
- GTX115222 - Provider product page

- Provider
- GeneTex
- Proper citation
- GeneTex Cat#GTX115222, RRID:AB_10624289
- Product name
- EFTUD2 antibody [C1C3]
- Antibody type
- Polyclonal
- Reactivity
- Human, Mouse
- Host
- Rabbit
Submitted references Inhibition of SNW1 association with spliceosomal proteins promotes apoptosis in breast cancer cells.
Sato N, Maeda M, Sugiyama M, Ito S, Hyodo T, Masuda A, Tsunoda N, Kokuryo T, Hamaguchi M, Nagino M, Senga T
Cancer medicine 2015 Feb;4(2):268-77
Cancer medicine 2015 Feb;4(2):268-77
No comments: Submit comment
Supportive validation
- Submitted by
- GeneTex (provider)
- Main image

- Experimental details
- Sample (50 ug of whole cell lysate) A: Mouse brain 7.5% SDS PAGE GTX115222 diluted at 1:1000
- Submitted by
- GeneTex (provider)
- Main image

- Experimental details
- Sample (30 ug of whole cell lysate) A: JurKat 7.5% SDS PAGE GTX115222 diluted at 1:1000
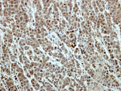
Supportive validation
- Submitted by
- GeneTex (provider)
- Main image

- Experimental details
- Immunohistochemical analysis of paraffin-embedded MCF7 xenograft, using EFTUD2(GTX115222) antibody at 1:500 dilution.