Antibody data
- Antibody Data
- Antigen structure
- References [0]
- Comments [0]
- Validations
- Western blot [1]
- Immunohistochemistry [1]
Submit
Validation data
Reference
Comment
Report error
- Product number
- PAB17552 - Provider product page

- Provider
- Abnova Corporation
- Proper citation
- Abnova Corporation Cat#PAB17552, RRID:AB_10644043
- Product name
- EFTUD2 polyclonal antibody
- Antibody type
- Polyclonal
- Description
- Rabbit polyclonal antibody raised against synthetic peptide of EFTUD2.
- Storage
- Store at -20°C.Aliquot to avoid repeated freezing and thawing.
No comments: Submit comment
Supportive validation
- Submitted by
- Abnova Corporation (provider)
- Main image

- Experimental details
- Western blot analysis of extracts from 293 cells (Lane 2) and HUVEC cells (Lane 1 and lane 3), using EFTUD2 polyclonal antibody (Cat # PAB17552).Peptide "+" means "with peptide blocking".
Supportive validation
- Submitted by
- Abnova Corporation (provider)
- Main image

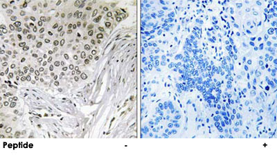
- Experimental details
- Immunohistochemistry analysis of paraffin-embedded human lung carcinoma tissue, using EFTUD2 polyclonal antibody (Cat # PAB17552).Peptide "+" means "with peptide blocking".
- Validation comment
- Immunohistochemistry (Formalin/PFA-fixed paraffin-embedded sections)