Antibody data
- Antibody Data
- Antigen structure
- References [0]
- Comments [0]
- Validations
- Western blot [3]
- ELISA [1]
- Immunohistochemistry [2]
- Flow cytometry [1]
Submit
Validation data
Reference
Comment
Report error
- Product number
- GTX60780 - Provider product page

- Provider
- GeneTex
- Product name
- Rex1 antibody [5E11E7]
- Antibody type
- Monoclonal
- Reactivity
- Human
- Host
- Mouse
No comments: Submit comment
Supportive validation
- Submitted by
- GeneTex (provider)
- Main image

- Experimental details
- WB analysis of lysates from (1) untransfected and (2) ZFP42 (a.a. 249-310)-hIgGFc transfected HEK293 cells using ZFP42 antibody [5E11E7].
- Submitted by
- GeneTex (provider)
- Main image

- Experimental details
- WB analysis of (1) Jurkat, (2) HEK293, (3) Raji and (4) PC-3 lysates using ZFP42 antibody [5E11E7].
- Submitted by
- GeneTex (provider)
- Main image

- Experimental details
- WB analysis of human ZFP42 recombinant protein using ZFP42 antibody [5E11E7].
Supportive validation
- Submitted by
- GeneTex (provider)
- Main image

- Experimental details
- ELISA analysis of control antigen and antigen using ZFP42 antibody [5E11E7].
Supportive validation
- Submitted by
- GeneTex (provider)
- Main image

- Experimental details
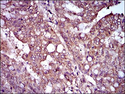
- IHC-P analysis of esophagus cancer tissues using ZFP42 antibody [5E11E7].
- Submitted by
- GeneTex (provider)
- Main image

- Experimental details
- IHC-P analysis of rectum cancer tissues using ZFP42 antibody [5E11E7].
Supportive validation
- Submitted by
- GeneTex (provider)
- Main image

- Experimental details
- FACS analysis of HEK293 cells using ZFP42 antibody [5E11E7] (green) or a negative control (red).