Antibody data
- Antibody Data
- Antigen structure
- References [0]
- Comments [0]
- Validations
- Western blot [1]
- Immunocytochemistry [1]
- Immunohistochemistry [1]
Submit
Validation data
Reference
Comment
Report error
- Product number
- GTX121524 - Provider product page

- Provider
- GeneTex
- Proper citation
- GeneTex Cat#GTX121524, RRID:AB_11163484
- Product name
- HEXIM2 antibody
- Antibody type
- Polyclonal
- Reactivity
- Human
- Host
- Rabbit
No comments: Submit comment
Supportive validation
- Submitted by
- GeneTex (provider)
- Main image

- Experimental details
- Sample (30 ug of whole cell lysate) A: A549 B: HepG2 12% SDS PAGE GTX121524 diluted at 1:500
Supportive validation
- Submitted by
- GeneTex (provider)
- Main image

- Experimental details
- Confocal immunofluorescence analysis (Olympus FV10i) of paraformaldehyde-fixed HeLa, using HEXIM2(GTX121524) antibody (Green) at 1:500 dilution. Alpha-tubulin filaments were labeled with GTX11304 (Red) at 1:2000.
Supportive validation
- Submitted by
- GeneTex (provider)
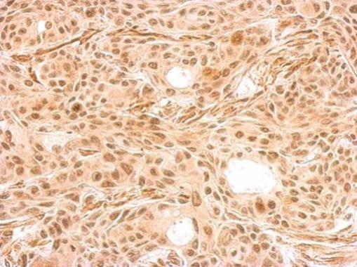
- Main image

- Experimental details
- HEXIM2 antibody detects HEXIM2 protein at nucleus on Cal27 xenograft by immunohistochemical analysis. Sample: Paraffin-embedded Cal27 xenograft. HEXIM2 antibody (GTX121524) dilution: 1:500.