Antibody data
- Antibody Data
- Antigen structure
- References [0]
- Comments [0]
- Validations
- Western blot [1]
- Immunohistochemistry [1]
Submit
Validation data
Reference
Comment
Report error
- Product number
- ARG54437 - Provider product page

- Provider
- Arigo
- Product name
- anti-EndoG antibody
- Antibody type
- Polyclonal
- Antigen
- Peptide corresponding to aa 55- 70 of human EndoG (accession no. NP_004426).
- Description
- Immunoaffinity chroma-tography
- Reactivity
- Human, Mouse
- Host
- Rabbit
- Isotype
- IgG
- Vial size
- 50 µg
- Storage
- Aliquot and store at -20°C or below. Storage in frost free freezers is not recommended. Avoid repeated freeze/thaw cycles. The antibody solution should be gently mixed before use.
- Handling
- The antibody solution should be gently mixed before use.
No comments: Submit comment
Supportive validation
- Submitted by
- Arigo (provider)
- Main image

- Experimental details
- Western Blot: M:mouse 3T3; H: humanHepG2 stained with ARG54437 anti-EndoG antibody at 2 µg/ml dilution.
Supportive validation
- Submitted by
- Arigo (provider)
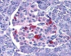
- Main image

- Experimental details
- Immunohistochemistry: human pancreas stained with ARG54437 anti-EndoG antibody at 15 µg/ml dilution.