Antibody data
- Antibody Data
- Antigen structure
- References [0]
- Comments [0]
- Validations
- Western blot [1]
- Immunohistochemistry [1]
Submit
Validation data
Reference
Comment
Report error
- Product number
- AP30316PU-N - Provider product page

- Provider
- Acris Antibodies GmbH
- Proper citation
- Acris Antibodies GmbH Cat#AP30316PU-N, RRID:AB_10671533
- Product name
- anti Endonuclease G
- Antibody type
- Polyclonal
- Antigen
- Human EndoG Peptide (AP30316CP-N)
- Reactivity
- Human, Mouse, Rat
- Host
- Rabbit
- Isotype
- IgG
- Vial size
- 0.1 mg
No comments: Submit comment
Supportive validation
- Submitted by
- Acris Antibodies GmbH (provider)
- Main image

- Experimental details
- Western blot analysis of EndoG in mouse (M) 3T3 and human (H) HepG2 cell lysates with AP30316PU-N EndoG antibody at 2 μg/ml.
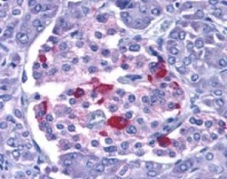
Supportive validation
- Submitted by
- Acris Antibodies GmbH (provider)
- Main image

- Experimental details
- Immunohistochemistry of EndoG in human pancreas with AP30316PU-N EndoG antibody at 15 μg/ml.