Antibody data
- Antibody Data
- Antigen structure
- References [0]
- Comments [0]
- Validations
- Immunohistochemistry [3]
Submit
Validation data
Reference
Comment
Report error
- Product number
- MA5-51408 - Provider product page

- Provider
- Invitrogen Antibodies
- Product name
- NOX4 Recombinant Rabbit Monoclonal Antibody (2B2K7)
- Antibody type
- Monoclonal
- Antigen
- Synthetic peptide
- Description
- Immunogen sequence: LHNKFWQENR PDYVNIQLYL SQTDGIQKII GEKYHALNSR LFIGRPRWKL LFDEIAKYNR GKTVGVFCCG PNSLSKTLHK LSNQNNSYGT RFEYNKESFS
- Reactivity
- Human, Mouse, Rat
- Host
- Rabbit
- Isotype
- IgG
- Antibody clone number
- 2B2K7
- Vial size
- 100 μL
- Concentration
- 0.25 mg/mL
- Storage
- -20°C, Avoid Freeze/Thaw Cycles
No comments: Submit comment
Supportive validation
- Submitted by
- Invitrogen Antibodies (provider)
- Main image

- Experimental details
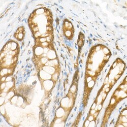
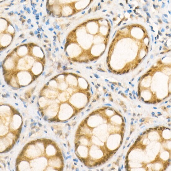
- Immunohistochemistry analysis of NOX4 in paraffin-embedded human colon. Samples were incubated with NOX4 Recombinant monoclonal antibody (Product # MA5-51408) using a dilution of 1:100 (40x lens). Perform high pressure antigen retrieval with 10 mM citrate buffer pH 6.0 before commencing with IHC staining protocol.
- Submitted by
- Invitrogen Antibodies (provider)
- Main image

- Experimental details
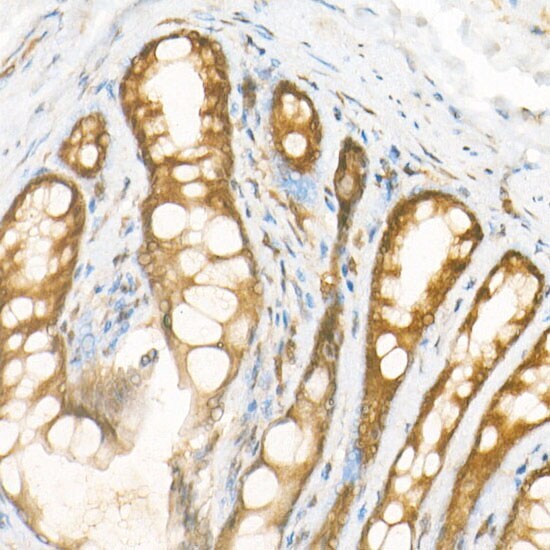
- Immunohistochemistry analysis of NOX4 in paraffin-embedded rat colon. Samples were incubated with NOX4 Recombinant monoclonal antibody (Product # MA5-51408) using a dilution of 1:100 (40x lens). Perform high pressure antigen retrieval with 10 mM citrate buffer pH 6.0 before commencing with IHC staining protocol.
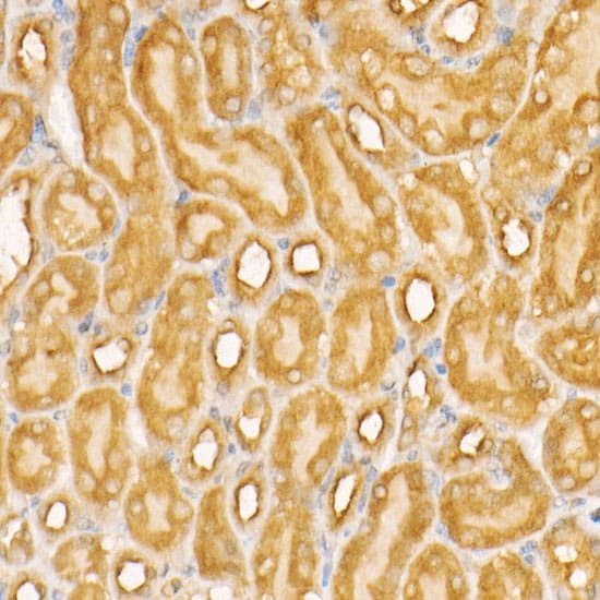
- Submitted by
- Invitrogen Antibodies (provider)
- Main image

- Experimental details
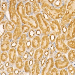
- Immunohistochemistry analysis of NOX4 in paraffin-embedded mouse kidney. Samples were incubated with NOX4 Recombinant monoclonal antibody (Product # MA5-51408) using a dilution of 1:100 (40x lens). Perform high pressure antigen retrieval with 10 mM citrate buffer pH 6.0 before commencing with IHC staining protocol.