Antibody data
- Antibody Data
- Antigen structure
- References [0]
- Comments [0]
- Validations
- Immunohistochemistry [1]
Submit
Validation data
Reference
Comment
Report error
- Product number
- AP22484PU-N - Provider product page

- Provider
- Acris Antibodies GmbH
- Proper citation
- Acris Antibodies GmbH Cat#AP22484PU-N, RRID:AB_10841456
- Product name
- anti Apolipoprotein C I (Apo CI)
- Antibody type
- Polyclonal
- Antigen
- Native human Apo C-I
- Reactivity
- Human
- Host
- Goat
- Isotype
- IgG
- Vial size
- 50 µg
No comments: Submit comment
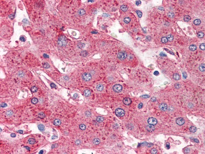
Supportive validation
- Submitted by
- Acris Antibodies GmbH (provider)
- Main image

- Experimental details
- Human Liver (formalin-fixed, paraffin-embedded) stained with APOC1 antibody AP22484PU-N at 5 µg/ml followed by biotinylated anti-goat IgG secondary antibody, alkaline phosphatase-streptavidin and chromogen.