Antibody data
- Antibody Data
- Antigen structure
- References [0]
- Comments [0]
- Validations
- Immunocytochemistry [1]
- Immunohistochemistry [2]
Submit
Validation data
Reference
Comment
Report error
- Product number
- PA5-145262 - Provider product page

- Provider
- Invitrogen Antibodies
- Product name
- Apolipoprotein C1 Polyclonal Antibody
- Antibody type
- Polyclonal
- Antigen
- Recombinant full-length protein
- Reactivity
- Human, Mouse
- Host
- Rabbit
- Isotype
- IgG
- Vial size
- 20 μL
- Concentration
- 0.5 mg/mL
- Storage
- Store at 4°C short term. For long term storage, store at -20°C, avoiding freeze/thaw cycles.
No comments: Submit comment
Supportive validation
- Submitted by
- Invitrogen Antibodies (provider)
- Main image

- Experimental details
- Immunocytochemistry analysis of Apolipoprotein C1 in HeLa cells. Samples were incubated with Apolipoprotein C1 polyclonal antibody (Product # PA5-145261) using a dilution of 30 µg/mL followed by FITC-Linked Caprine Anti-Rabbit IgG secondary antibody at a dilution of 2 µg/mL.
Supportive validation
- Submitted by
- Invitrogen Antibodies (provider)
- Main image

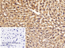
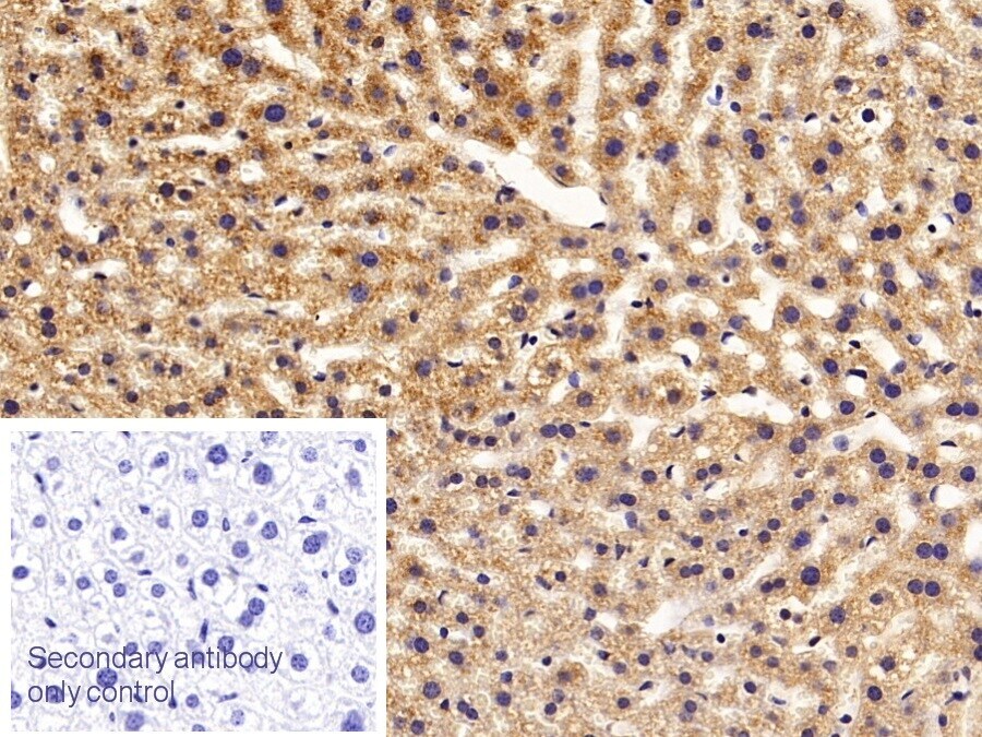
- Experimental details
- Immunohistochemistry (Paraffin) analysis of Apolipoprotein C1 in Human Liver Tissue. Samples were incubated in Apolipoprotein C1 polyclonal antibody (Product # PA5-145261) using a dilution of 20 µg/mL followed by HRP-Linked Caprine Anti-Rabbit IgG at a dilution of 2 µg/mL and DAB staining.
- Submitted by
- Invitrogen Antibodies (provider)
- Main image

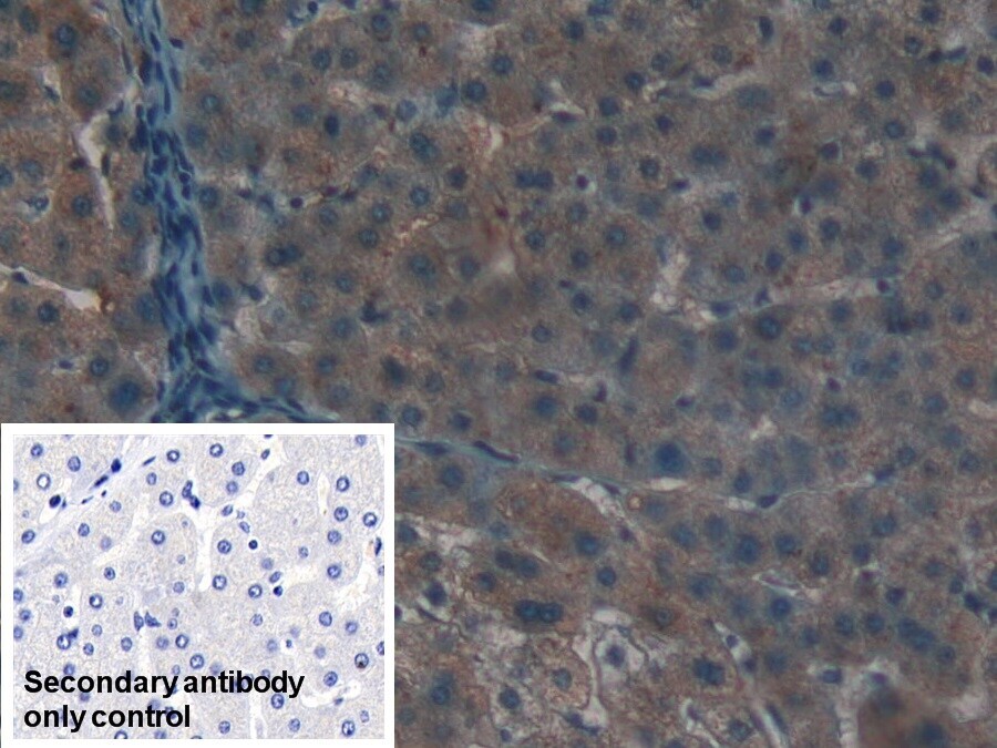
- Experimental details
- Immunohistochemistry (Paraffin) analysis of Apolipoprotein C1 in Mouse Liver Tissue. Samples were incubated in Apolipoprotein C1 polyclonal antibody (Product # PA5-145261) using a dilution of 20 µg/mL followed by HRP-Linked Caprine Anti-Rabbit IgG at a dilution of 2 µg/mL and DAB staining.