Antibody data
- Antibody Data
- Antigen structure
- References [4]
- Comments [0]
- Validations
- Western blot [1]
- Immunohistochemistry [4]
Submit
Validation data
Reference
Comment
Report error
- Product number
- NLS932 - Provider product page

- Provider
- Novus Biologicals
- Proper citation
- Novus Cat#NLS932, RRID:AB_10002295
- Product name
- Rabbit Polyclonal Melatonin Receptor 1B Antibody
- Antibody type
- Polyclonal
- Description
- Immunogen affinity purified.
- Reactivity
- Human, Mouse, Rat
- Host
- Rabbit
- Isotype
- IgG
- Vial size
- 0.05 ml
- Concentration
- 1 mg/ml
- Storage
- Store at 4C short term. Aliquot and store at -20C long term. Avoid freeze-thaw cycles.
Submitted references Melatonin Prevents Transforming Growth Factor-β1-Stimulated Transdifferentiation of Renal Interstitial Fibroblasts to Myofibroblasts by Suppressing Reactive Oxygen Species-Dependent Mechanisms.
Localization of melatonin and its receptors (melatonin 1a and 1b receptors) in the mouse inner ear.
Influence of Melatonin on the Proliferative and Apoptotic Responses of the Prostate under Normal and Hyperglycemic Conditions.
Melatonin in the mammalian olfactory bulb.
Kim JY, Park JH, Jeon EJ, Leem J, Park KK
Antioxidants (Basel, Switzerland) 2020 Jan 1;9(1)
Antioxidants (Basel, Switzerland) 2020 Jan 1;9(1)
Localization of melatonin and its receptors (melatonin 1a and 1b receptors) in the mouse inner ear.
Takumida M, Anniko M
Acta oto-laryngologica 2019 Nov;139(11):948-952
Acta oto-laryngologica 2019 Nov;139(11):948-952
Influence of Melatonin on the Proliferative and Apoptotic Responses of the Prostate under Normal and Hyperglycemic Conditions.
Gobbo MG, Dizeyi N, Abrahamsson PA, Bertilsson PA, Masitéli VS, Pytlowanciv EZ, Taboga SR, Góes RM
Journal of diabetes research 2015;2015:538529
Journal of diabetes research 2015;2015:538529
Melatonin in the mammalian olfactory bulb.
Corthell JT, Olcese J, Trombley PQ
Neuroscience 2014 Mar 7;261:74-84
Neuroscience 2014 Mar 7;261:74-84
No comments: Submit comment
Supportive validation
- Submitted by
- Novus Biologicals (provider)
- Main image

- Experimental details
- Western Blot: Melatonin Receptor 1B Antibody [NLS932] - Analysis of 1) HepG2 and 2) A431.
Supportive validation
- Submitted by
- Novus Biologicals (provider)
- Main image

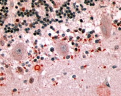
- Experimental details
- Immunohistochemistry: Melatonin Receptor 1B Antibody [NLS932] - Analysis of Human Brain using Fast Red with hematoxylin counterstain.
- Submitted by
- Novus Biologicals (provider)
- Main image

- Experimental details
- Immunohistochemistry: Melatonin Receptor 1B Antibody [NLS932] - Staining of Mouse Brain.
- Submitted by
- Novus Biologicals (provider)
- Main image

- Experimental details
- Immunohistochemistry-Paraffin: Melatonin Receptor 1B Antibody [NLS932] - Analysis of Human Brain. 8 ug/ ml.
- Submitted by
- Novus Biologicals (provider)
- Main image

- Experimental details
- Immunohistochemistry-Paraffin: Melatonin Receptor 1B Antibody [NLS932] - Melatonin receptor type 1 B (MTR1B) in rat tissues fixed in paraformaldehyde and embedded in paraffin. A,B-brain, C-prostate. Image from verified customer review.