Antibody data
- Antibody Data
- Antigen structure
- References [0]
- Comments [0]
- Validations
- Immunohistochemistry [6]
Submit
Validation data
Reference
Comment
Report error
- Product number
- NLS1273 - Provider product page

- Provider
- Novus Biologicals
- Proper citation
- Novus Cat#NLS1273, RRID:AB_2112702
- Product name
- Rabbit Polyclonal GPR45 Antibody
- Antibody type
- Polyclonal
- Description
- Immunogen affinity purified. Human GPR45. BLAST analysis of the peptide immunogen showed no homology with other human proteins.
- Reactivity
- Human, Simian
- Host
- Rabbit
- Isotype
- IgG
- Vial size
- 0.05 ml
- Concentration
- 1.0 mg/ml
- Storage
- Store at 4C short term. Aliquot and store at -20C long term. Avoid freeze-thaw cycles.
No comments: Submit comment
Supportive validation
- Submitted by
- Novus Biologicals (provider)
- Main image

- Experimental details
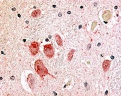
- Immunohistochemistry-Paraffin: GPR45 Antibody [NLS1273] - Analysis of anti-GPR45 antibody with brain, neurons and glia at 42 ug/ml.
- Submitted by
- Novus Biologicals (provider)
- Main image

- Experimental details
- Immunohistochemistry-Paraffin: GPR45 Antibody [NLS1273] - Analysis of anti-GPR45 antibody with human brain, glioblastoma.
- Submitted by
- Novus Biologicals (provider)
- Main image

- Experimental details
- Immunohistochemistry-Paraffin: GPR45 Antibody [NLS1273] - Anti-GPR45 antibody IHC of human brain, neurons and glia. Immunohistochemistry of formalin-fixed, paraffin-embedded tissue after heat-induced antigen retrieval.
- Submitted by
- Novus Biologicals (provider)
- Main image

- Experimental details
- Immunohistochemistry-Paraffin: GPR45 Antibody [NLS1273] - Anti-GPR45 antibody IHC of human Skin, Melanoma. Immunohistochemistry of formalin-fixed, paraffin-embedded tissue after heat-induced antigen retrieval.
- Submitted by
- Novus Biologicals (provider)
- Main image

- Experimental details
- Immunohistochemistry-Paraffin: GPR45 Antibody [NLS1273] - Ovary, Carcinoma
- Submitted by
- Novus Biologicals (provider)
- Main image

- Experimental details
- Immunohistochemistry-Paraffin: GPR45 Antibody [NLS1273] - Human Prostate, Carcinoma tissue after heat-induced antigen retrieval.