Antibody data
- Antibody Data
- Antigen structure
- References [2]
- Comments [0]
- Validations
- Immunohistochemistry [1]
- Other assay [1]
Submit
Validation data
Reference
Comment
Report error
- Product number
- PA5-40755 - Provider product page

- Provider
- Invitrogen Antibodies
- Product name
- FXR Polyclonal Antibody
- Antibody type
- Polyclonal
- Antigen
- Synthetic peptide
- Description
- Peptide sequence: AECLLTEIQC KSKRLRKNVK QHADQTVNED SEGRDLRQVT STTKSCREKT Sequence homology: Cow: 100%; Dog: 100%; Guinea Pig: 100%; Horse: 100%; Human: 100%; Mouse: 100%; Rabbit: 93%; Rat: 100%
- Reactivity
- Human, Mouse
- Host
- Rabbit
- Isotype
- IgG
- Vial size
- 100 μL
- Concentration
- 0.5 mg/mL
- Storage
- -20°C, Avoid Freeze/Thaw Cycles
Submitted references Effect of Gegen Qinlian Decoction on Hepatic Gluconeogenesis in ZDF Rats with Type 2 Diabetes Mellitus Based on the Farnesol X Receptor/Ceramide Signaling Pathway Regulating Mitochondrial Metabolism and Endoplasmic Reticulum Stress.
Ileo-colonic delivery of conjugated bile acids improves glucose homeostasis via colonic GLP-1-producing enteroendocrine cells in human obesity and diabetes.
Zhou Q, Song N, Wang SQ, Wang Y, Zhao YK, Zhu XD
Evidence-based complementary and alternative medicine : eCAM 2021;2021:9922292
Evidence-based complementary and alternative medicine : eCAM 2021;2021:9922292
Ileo-colonic delivery of conjugated bile acids improves glucose homeostasis via colonic GLP-1-producing enteroendocrine cells in human obesity and diabetes.
Calderon G, McRae A, Rievaj J, Davis J, Zandvakili I, Linker-Nord S, Burton D, Roberts G, Reimann F, Gedulin B, Vella A, LaRusso NF, Camilleri M, Gribble FM, Acosta A
EBioMedicine 2020 May;55:102759
EBioMedicine 2020 May;55:102759
No comments: Submit comment
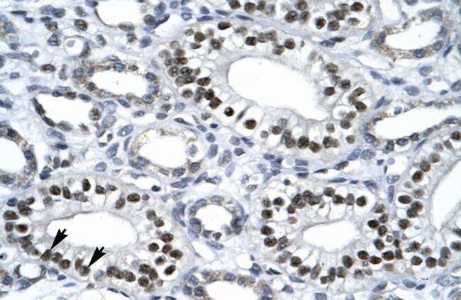
Supportive validation
- Submitted by
- Invitrogen Antibodies (provider)
- Main image

- Experimental details
- Immunohistochemistry analysis of human kidney tissue using an anti-Farnesoid X Receptor polyclonal antibody (Product # PA5-40755).
Supportive validation
- Submitted by
- Invitrogen Antibodies (provider)
- Main image

- Experimental details
- Figure 6 Effects of the treatment of Gegen Qinlian Decoction (GQD) for 12 weeks on FXR, Sptlc2, and Smpd3 expressions in the intestinal tissue of ZDF (fa/fa) rats. The levels of FXR, Sptlc2, and Smpd3 proteins were detected by the immunohistochemistry assay ((a), (b)) and western blot assay ((c), (d)). The levels of FXR, Sptlc2, and Smpd3 mRNAs were detected by the qRT-PCR assay (e). Results were presented as mean +- SD ( n = 8). ** P < 0.01 versus the blank group; ## P < 0.01 versus the model group (magnification x200).