Antibody data
- Antibody Data
 - Antigen structure
 - References [0]
 - Comments [0]
 - Validations
 - Western blot [1]
 - Immunohistochemistry [4]
 
Submit
Validation data
Reference
Comment
Report error
- Product number
 - LS-C756578 - Provider product page

 - Provider
 - LSBio
 - Product name
 - CKM / Creatine Kinase MM Antibody LS-C756578
 - Antibody type
 - Polyclonal
 - Description
 - Immunogen affinity purified
 - Reactivity
 - Human, Mouse, Rat
 - Host
 - Rabbit
 - Isotype
 - IgG
 - Storage
 - After reconstitution, may be stored at 4°C for 1 month. For long-term storage and to avoid freeze-thaw cycles, aliquot and store at -20°C.
 
				No comments: Submit comment	
	
			
							
					Enhanced validation
					
									
				
				- Submitted by
 - LSBio (provider)
 - Enhanced method
 - Genetic validation
 - Main image
 
- Experimental details
 - Western blot analysis of Creatine Kinase MM using anti-Creatine Kinase MM antibody. Electrophoresis was performed on a 5-20% SDS-PAGE gel at 70V (Stacking gel) / 90V (Resolving gel) for 2-3 hours. The sample well of each lane was loaded with 50ug of sample under reducing conditions. Lane 1: human K562 whole cell lysate,Lane 2: human CNE whole cell lysate,Lane 3: human COLO-320 whole cell lysate,Lane 4: rat heart tissue lysates,Lane 5: rat lung tissue lysates,Lane 6: mouse heart tissue lysates,Lane 7: mouse lung tissue lysates. After Electrophoresis, proteins were transferred to a Nitrocellulose membrane at 150mA for 50-90 minutes. Blocked the membrane with 5% Non-fat Milk/ TBS for 1.5 hour at RT. The membrane was incubated with rabbit anti-Creatine Kinase MM antigen affinity purified polyclonal antibody at 0.5 µg/mL overnight at 4°C, then washed with TBS-0.1% Tween 3 times with 5 minutes each and probed with a goat anti-rabbit IgG-HRP secondary antibody at a dilution of 1:10000 for 1.5 hour at RT. The signal is developed using an Enhanced Chemiluminescent detection (ECL) kit with Tanon 5200 system. A specific band was detected for Creatine Kinase MM at approximately 43KD. The expected band size for Creatine Kinase MM is at 43KD.
 
							
					Supportive validation
					
									
				
		- Submitted by
 - LSBio (provider)
 - Enhanced method
 - Genetic validation
 - Main image
 
- Experimental details
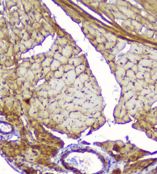
 - IHC analysis of Creatine Kinase MM using anti-Creatine Kinase MM antibody. Creatine Kinase MM was detected in paraffin-embedded section of mouse cardiac muscle tissue. Heat mediated antigen retrieval was performed in citrate buffer (pH6, epitope retrieval solution) for 20 mins. The tissue section was blocked with 10% goat serum. The tissue section was then incubated with 1µg/ml rabbit anti-Creatine Kinase MM Antibody overnight at 4°C. Biotinylated goat anti-rabbit IgG was used as secondary antibody and incubated for 30 minutes at 37°C. The tissue section was developed using Strepavidin-Biotin-Complex (SABC) with DAB as the chromogen.
 
- Submitted by
 - LSBio (provider)
 - Enhanced method
 - Genetic validation
 - Main image
 
- Experimental details
 - IHC analysis of Creatine Kinase MM using anti-Creatine Kinase MM antibody. Creatine Kinase MM was detected in paraffin-embedded section of rat cardiac muscle tissue. Heat mediated antigen retrieval was performed in citrate buffer (pH6, epitope retrieval solution) for 20 mins. The tissue section was blocked with 10% goat serum. The tissue section was then incubated with 1µg/ml rabbit anti-Creatine Kinase MM Antibody overnight at 4°C. Biotinylated goat anti-rabbit IgG was used as secondary antibody and incubated for 30 minutes at 37°C. The tissue section was developed using Strepavidin-Biotin-Complex (SABC) with DAB as the chromogen.
 
- Submitted by
 - LSBio (provider)
 - Main image
 
- Experimental details
 - IHC analysis of Creatine Kinase MM using anti-Creatine Kinase MM antibody. Creatine Kinase MM was detected in paraffin-embedded section of rat cardiac muscle tissue. Heat mediated antigen retrieval was performed in citrate buffer (pH6, epitope retrieval solution) for 20 mins. The tissue section was blocked with 10% goat serum. The tissue section was then incubated with 1µg/ml rabbit anti-Creatine Kinase MM Antibody overnight at 4°C. Biotinylated goat anti-rabbit IgG was used as secondary antibody and incubated for 30 minutes at 37°C. The tissue section was developed using Strepavidin-Biotin-Complex (SABC) with DAB as the chromogen.
 
- Submitted by
 - LSBio (provider)
 - Main image
 
- Experimental details
 - IHC analysis of Creatine Kinase MM using anti-Creatine Kinase MM antibody. Creatine Kinase MM was detected in paraffin-embedded section of mouse cardiac muscle tissue. Heat mediated antigen retrieval was performed in citrate buffer (pH6, epitope retrieval solution) for 20 mins. The tissue section was blocked with 10% goat serum. The tissue section was then incubated with 1µg/ml rabbit anti-Creatine Kinase MM Antibody overnight at 4°C. Biotinylated goat anti-rabbit IgG was used as secondary antibody and incubated for 30 minutes at 37°C. The tissue section was developed using Strepavidin-Biotin-Complex (SABC) with DAB as the chromogen.