Antibody data
- Antibody Data
- Antigen structure
- References [0]
- Comments [0]
- Validations
- Western blot [2]
- Immunohistochemistry [5]
Submit
Validation data
Reference
Comment
Report error
- Product number
- NBP1-84984 - Provider product page

- Provider
- Novus Biologicals
- Proper citation
- Novus Cat#NBP1-84984, RRID:AB_11034483
- Product name
- Rabbit Polyclonal Torsin 1B Antibody
- Antibody type
- Polyclonal
- Description
- Immunogen affinity purified. Specificity of human, mouse, rat Torsin 1B antibody verified on a Protein Array containing target protein plus 383 other non-specific proteins.
- Reactivity
- Human, Mouse, Rat
- Host
- Rabbit
- Isotype
- IgG
- Vial size
- 0.1 ml
- Storage
- Store at 4C short term. Aliquot and store at -20C long term. Avoid freeze-thaw cycles.
No comments: Submit comment
Supportive validation
- Submitted by
- Novus Biologicals (provider)
- Main image

- Experimental details
- Western Blot: Torsin 1B Antibody [NBP1-84984] - Lane 1: Marker [kDa] 230, 130, 95, 72, 56, 36, 28, 17, 11. Lane 2: Human cell line RT-4. Lane 3: Human cell line U-251MG sp
- Submitted by
- Novus Biologicals (provider)
- Main image

- Experimental details
- Western Blot: Torsin 1B Antibody [NBP1-84984] - Lane 1: NIH-3T3 cell lysate (Mouse embryonic fibroblast cells). Lane 2: NBT-II cell lysate (Rat Wistar bladder tumor cells).
Supportive validation
- Submitted by
- Novus Biologicals (provider)
- Main image

- Experimental details
- Immunohistochemistry-Paraffin: Torsin 1B Antibody [NBP1-84984] - Staining of human testis shows moderate cytoplasmic positivity in Leydig cells.
- Submitted by
- Novus Biologicals (provider)
- Main image

- Experimental details
- Immunohistochemistry-Paraffin: Torsin 1B Antibody [NBP1-84984] - Staining of human lower rectum shows moderate cytoplasmic/ membranous positivity in glandular cells.
- Submitted by
- Novus Biologicals (provider)
- Main image

- Experimental details
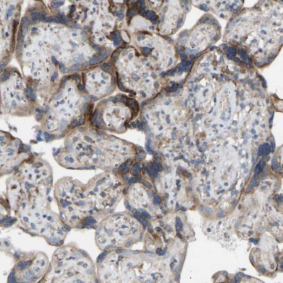
- Immunohistochemistry-Paraffin: Torsin 1B Antibody [NBP1-84984] - Staining of human placenta shows weak to moderate cytoplasmic positivity in trophoblastic cells.
- Submitted by
- Novus Biologicals (provider)
- Main image

- Experimental details
- Immunohistochemistry-Paraffin: Torsin 1B Antibody [NBP1-84984] - Staining of human prostate shows moderate cytoplasmic positivity in smooth muscle cells.
- Submitted by
- Novus Biologicals (provider)
- Main image

- Experimental details
- Immunohistochemistry-Paraffin: Torsin 1B Antibody [NBP1-84984] - Staining of human testis shows moderate cytoplasmic positivity in Leydig cells.