Antibody data
- Antibody Data
- Antigen structure
- References [0]
- Comments [0]
- Validations
- Western blot [1]
- Immunohistochemistry [1]
Submit
Validation data
Reference
Comment
Report error
- Product number
- TA306618 - Provider product page

- Provider
- OriGene
- Product name
- Rabbit Polyclonal MED4 Antibody
- Antibody type
- Polyclonal
- Description
- Rabbit Polyclonal MED4 Antibody
- Host
- Rabbit
- Conjugate
- Unconjugated
- Epitope
- MED4
- Isotype
- IgG
- Antibody clone number
- NULL
- Vial size
- 100 µg
- Concentration
- 1ug/ul
No comments: Submit comment
Supportive validation
- Submitted by
- OriGene (provider)
- Main image

- Experimental details
- Western blot analysis of MED4 in human testis tissue lysate with MED4 antibody at 0.5 ug/ml.
- Validation comment
- WB
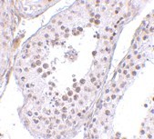
Supportive validation
- Submitted by
- OriGene (provider)
- Main image

- Experimental details
- Immunohistochemistry of MED4 in human testis tissue with MED4 antibody at 10 ug/ml.
- Validation comment
- IHC