A301-294A
antibody from Invitrogen Antibodies
Targeting: POLR1G
A34.5, ASE-1, CAST, CD3EAP, PAF49, RPA34
Antibody data
- Antibody Data
- Antigen structure
- References [0]
- Comments [0]
- Validations
- Immunohistochemistry [1]
- Other assay [1]
Submit
Validation data
Reference
Comment
Report error
- Product number
- A301-294A - Provider product page

- Provider
- Invitrogen Antibodies
- Product name
- PAF49 Polyclonal Antibody
- Antibody type
- Polyclonal
- Antigen
- Other
- Reactivity
- Human
- Host
- Rabbit
- Isotype
- IgG
- Vial size
- 100 µL
- Concentration
- 1 mg/mL
- Storage
- 4° C
No comments: Submit comment
Supportive validation
- Submitted by
- Invitrogen Antibodies (provider)
- Main image

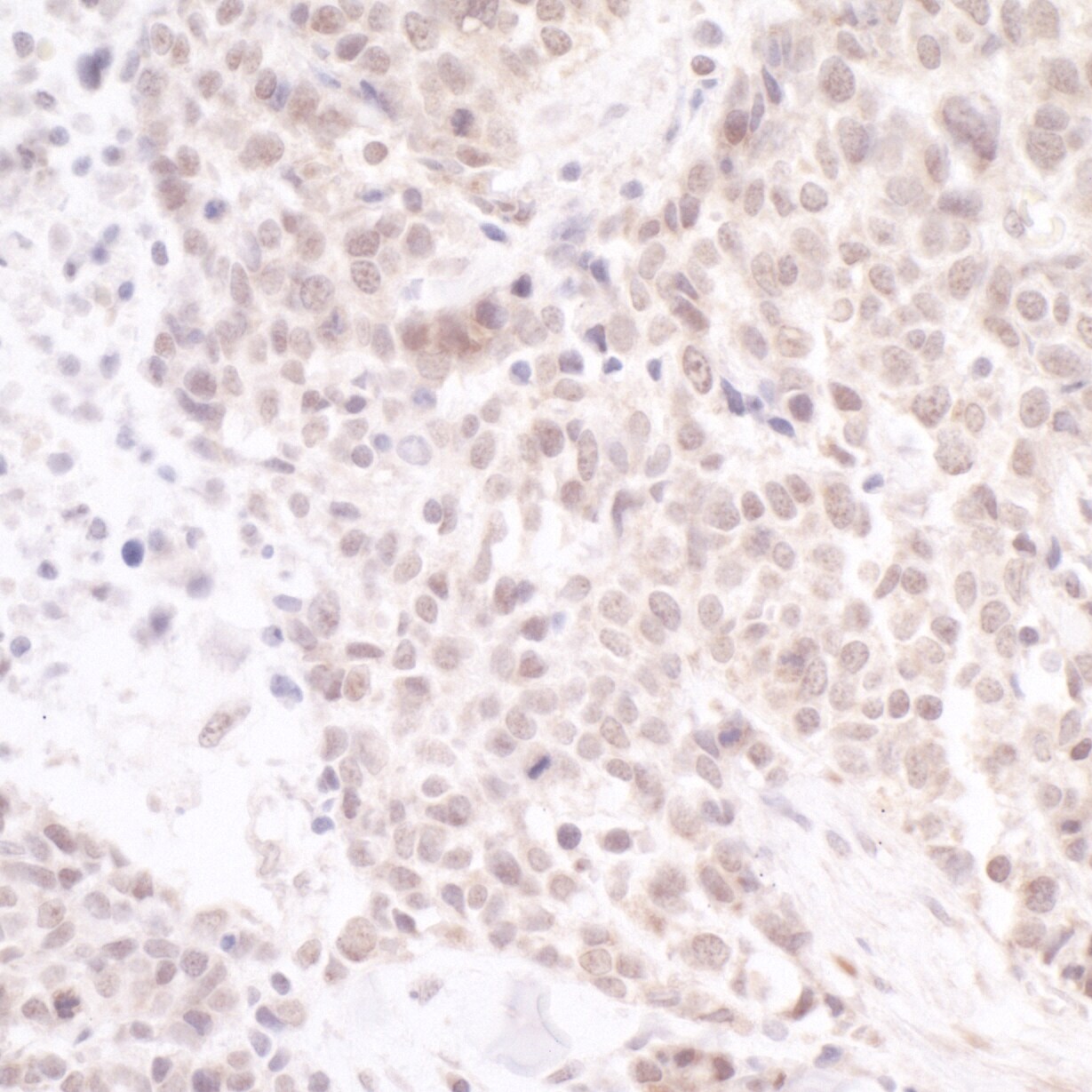
- Experimental details
- Detection of human PAF49 by immunohistochemistry. Sample: FFPE section of human lung cancer. Antibody: Affinity purified rabbit anti-PAF49 antibody A301-294A Lot2 used at a dilution of 1:5,000 (0.2 µg/ml). Detection: DAB.
Supportive validation
- Submitted by
- Invitrogen Antibodies (provider)
- Main image

- Experimental details
- Detection of human PAF49 by western blot of immunoprecipitates. Samples: Whole cell lysate (1.0 mg per IP reaction; 20% of IP loaded) from HeLa cells prepared using NETN lysis buffer. Antibodies: Affinity purified rabbit anti-PAF49 antibody A301-294A (lot A301-294A-2) used for IP at 3 µg per reaction. PAF49 was also immunoprecipitated by rabbit anti-PAF49 antibody A301-295A. For blotting immunoprecipitated PAF49, A301-295A was used at 1 µg/ml. Detection: Chemiluminescence with an exposure time of 10 seconds.