A301-295A
antibody from Invitrogen Antibodies
Targeting: POLR1G
A34.5, ASE-1, CAST, CD3EAP, PAF49, RPA34
Antibody data
- Antibody Data
- Antigen structure
- References [0]
- Comments [0]
- Validations
- Western blot [1]
- Immunocytochemistry [1]
- Immunohistochemistry [1]
Submit
Validation data
Reference
Comment
Report error
- Product number
- A301-295A - Provider product page

- Provider
- Invitrogen Antibodies
- Product name
- PAF49 Polyclonal Antibody
- Antibody type
- Polyclonal
- Antigen
- Other
- Reactivity
- Human
- Host
- Rabbit
- Isotype
- IgG
- Vial size
- 100 µL
- Concentration
- 0.20 mg/mL
- Storage
- 4° C
No comments: Submit comment
Supportive validation
- Submitted by
- Invitrogen Antibodies (provider)
- Main image

- Experimental details
- Detection of human PAF49 by western blot and immunoprecipitation. Samples: Whole cell lysate (5, 15 and 50 µg for WB; 1 mg for IP, 20% of IP loaded) from HeLa cells. Antibodies: Affinity purified rabbit anti-PAF49 antibody A301-295A used for WB at 0.04 µg/ml (A) and 1 µg/ml (B) and used for IP at 3 µg/mg lysate. PAF49 was also immunoprecipitated by rabbit anti-PAF49 antibody A301-294A, which recognizes an upstream epitope. Detection: Chemiluminescence with exposure times of 3 minutes (A) and 10 seconds (B).
Supportive validation
- Submitted by
- Invitrogen Antibodies (provider)
- Main image

- Experimental details
- Detection of human PAF49 by immunocytochemistry. Sample: Formaldehyde-fixed asynchronous HeLa cells. Antibody: Affinity purified rabbit anti- PAF49 (Cat. No.A301-295A Lot1) used at a dilution of 1:100 (2 µg/mL). Detection: Red-fluorescent goat anti-rabbit IgG highly cross-adsorbed Antibody used at a dilution of 1:100.
Supportive validation
- Submitted by
- Invitrogen Antibodies (provider)
- Main image

- Experimental details
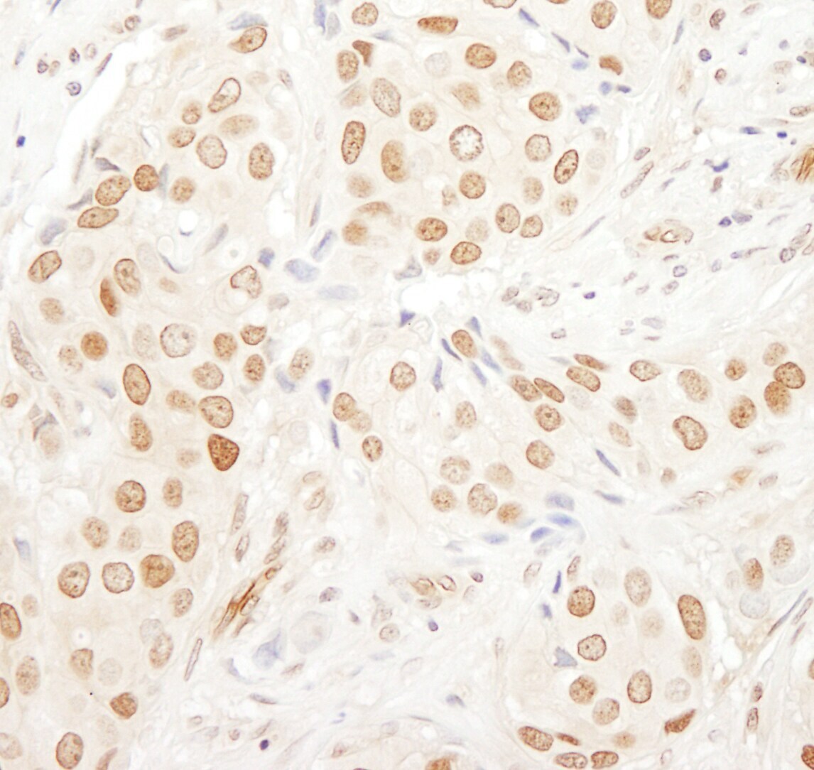
- Detection of human PAF49 by immunohistochemistry. Sample: FFPE section of human breast carcinoma. Antibody: Affinity purified rabbit anti- PAF49 (Cat. No. A301-295A Lot1) used at a dilution of 1:200 (1µg/ml). Detection: DAB.