Antibody data
- Antibody Data
- Antigen structure
- References [0]
- Comments [0]
- Validations
- Immunohistochemistry [1]
Submit
Validation data
Reference
Comment
Report error
- Product number
- AP55662PU-N - Provider product page

- Provider
- Acris Antibodies GmbH
- Product name
- anti MYBPC1 (C-term)
- Antibody type
- Polyclonal
- Antigen
- 12 amino acid synthetic peptide near the carboxy terminus of human MYBPC1 (AP55662CP-N)
- Reactivity
- Human
- Host
- Rabbit
- Isotype
- IgG
- Vial size
- 0.1 mg
- Concentration
- 1.0 mg/ml
No comments: Submit comment
Supportive validation
- Submitted by
- Acris Antibodies GmbH (provider)
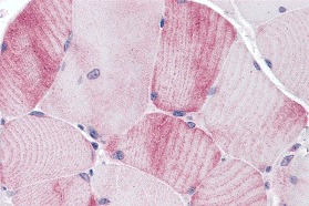
- Main image

- Experimental details
- Immunohistochemistry of MYBPC1 in human skeletal muscle tissue with MYBPC1 antibody Cat.-No AP55662PU-N at 5 µg/ml.