Antibody data
- Antibody Data
- Antigen structure
- References [1]
- Comments [0]
- Validations
- Immunohistochemistry [2]
Submit
Validation data
Reference
Comment
Report error
- Product number
- 10887-1-AP - Provider product page

- Provider
- Proteintech Group
- Proper citation
- Proteintech Cat#10887-1-AP, RRID:AB_2168906
- Product name
- PPT1 antibody
- Antibody type
- Polyclonal
- Description
- PPT1 antibody (Cat. #10887-1-AP) is a rabbit polyclonal antibody that shows reactivity with human, mouse, rat and has been validated for the following applications: IHC, ELISA.
- Reactivity
- Human, Mouse, Rat
- Host
- Rabbit
- Conjugate
- Unconjugated
- Isotype
- IgG
- Vial size
- 20ul, 150ul
Submitted references PPT1 regulation of HSP90α depalmitoylation participates in the pathogenesis of hyperandrogenism.
Xue T, Zhao S, Zhang H, Tang T, Zheng L, Jing J, Ge X, Ma R, Ma J, Ren X, Jueraitetibaike K, Guo Z, Chen L, Yao B
iScience 2023 Mar 17;26(3):106131
iScience 2023 Mar 17;26(3):106131
No comments: Submit comment
Supportive validation
- Submitted by
- Proteintech Group (provider)
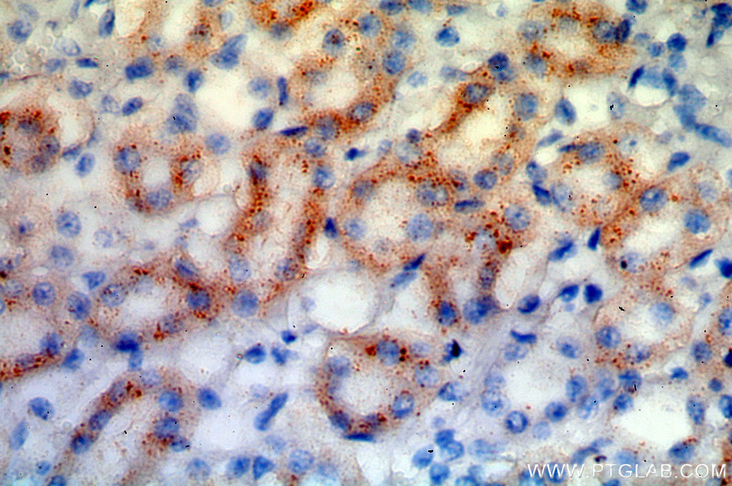
- Main image

- Experimental details
- Immunohistochemical of paraffin-embedded human kidney using 10887-1-AP(PPT1 antibody) at dilution of 1:50 (under 10x lens)
- Sample type
- tissue
- Submitted by
- Proteintech Group (provider)
- Main image

- Experimental details
- The PPT1 antibody from Proteintech is a rabbit polyclonal antibody to a recombinant protein of human PPT1. This antibody recognizes human,mouse,rat antigen. The PPT1 antibody has been validated for the following applications: ELISA, IHC analysis.