Antibody data
- Antibody Data
 - Antigen structure
 - References [0]
 - Comments [0]
 - Validations
 - Western blot [1]
 - Immunocytochemistry [1]
 - Immunohistochemistry [9]
 - Flow cytometry [1]
 
Submit
Validation data
Reference
Comment
Report error
- Product number
 - TA504622 - Provider product page

 - Provider
 - OriGene
 - Proper citation
 - OriGene Cat#TA504622, RRID:AB_2622487
 - Product name
 - CPA2 (Carboxypeptidase A2) mouse monoclonal antibody, clone OTI1C7 (formerly 1C7)
 - Antibody type
 - Monoclonal
 - Description
 - CPA2 (Carboxypeptidase A2) mouse monoclonal antibody, clone OTI1C7 (formerly 1C7)
 - Host
 - Mouse
 - Conjugate
 - Unconjugated
 - Epitope
 - CPA2
 - Isotype
 - IgG
 - Antibody clone number
 - OTI1C7
 - Vial size
 - 100 µl
 - Concentration
 - 0.89 mg/ml
 
				No comments: Submit comment	
	
			
							
					Supportive validation
					
									
				
				- Submitted by
 - OriGene (provider)
 - Main image
 
- Experimental details
 - HEK293T cells were transfected with the pCMV6-ENTRY control (Left lane) or pCMV6-ENTRY CPA2 (RC202719, Right lane) cDNA for 48 hrs and lysed. Equivalent amounts of cell lysates (5 ug per lane) were separated by SDS-PAGE and immunoblotted with anti-CPA2.
 - Validation comment
 - WB
 
							
					Supportive validation
					
									
				
				- Submitted by
 - OriGene (provider)
 - Main image
 
- Experimental details
 - Anti-CPA2 mouse monoclonal antibody (TA504622) immunofluorescent staining of COS7 cells transiently transfected by pCMV6-ENTRY CPA2(RC202719).
 - Validation comment
 - IF
 
							
					Supportive validation
					
									
				
				- Submitted by
 - OriGene (provider)
 - Main image
 
- Experimental details
 - Immunohistochemical staining of paraffin-embedded Human liver tissue within the normal limits using anti-CPA2 mouse monoclonal antibody. (Heat-induced epitope retrieval by 10mM citric buffer, pH6.0, 100C for 10min, TA504622)
 - Validation comment
 - IHC
 
- Submitted by
 - OriGene (provider)
 - Main image
 
- Experimental details
 - Immunohistochemical staining of paraffin-embedded Human lymphoma tissue using anti-CPA2 mouse monoclonal antibody. (Heat-induced epitope retrieval by 10mM citric buffer, pH6.0, 100C for 10min, TA504622)
 - Validation comment
 - IHC
 
- Submitted by
 - OriGene (provider)
 - Main image
 
- Experimental details
 - Immunohistochemical staining of paraffin-embedded Adenocarcinoma of Human endometrium tissue using anti-CPA2 mouse monoclonal antibody. (Heat-induced epitope retrieval by 10mM citric buffer, pH6.0, 100C for 10min, TA504622)
 - Validation comment
 - IHC
 
- Submitted by
 - OriGene (provider)
 - Main image
 
- Experimental details
 - Immunohistochemical staining of paraffin-embedded Carcinoma of Human thyroid tissue using anti-CPA2 mouse monoclonal antibody. (Heat-induced epitope retrieval by 10mM citric buffer, pH6.0, 100C for 10min, TA504622)
 - Validation comment
 - IHC
 
- Submitted by
 - OriGene (provider)
 - Main image
 
- Experimental details
 - Immunohistochemical staining of paraffin-embedded Adenocarcinoma of Human ovary tissue using anti-CPA2 mouse monoclonal antibody. (Heat-induced epitope retrieval by 10mM citric buffer, pH6.0, 100C for 10min, TA504622)
 - Validation comment
 - IHC
 
- Submitted by
 - OriGene (provider)
 - Main image
 
- Experimental details
 - Immunohistochemical staining of paraffin-embedded Carcinoma of Human prostate tissue using anti-CPA2 mouse monoclonal antibody. (Heat-induced epitope retrieval by 10mM citric buffer, pH6.0, 100C for 10min, TA504622)
 - Validation comment
 - IHC
 
- Submitted by
 - OriGene (provider)
 - Main image
 
- Experimental details
 - Immunohistochemical staining of paraffin-embedded Human bladder tissue within the normal limits using anti-CPA2 mouse monoclonal antibody. (Heat-induced epitope retrieval by 10mM citric buffer, pH6.0, 100C for 10min, TA504622)
 - Validation comment
 - IHC
 
- Submitted by
 - OriGene (provider)
 - Main image
 
- Experimental details
 - Immunohistochemical staining of paraffin-embedded Human pancreas tissue within the normal limits using anti-CPA2 mouse monoclonal antibody. (Heat-induced epitope retrieval by 10mM citric buffer, pH6.0, 100C for 10min, TA504622)
 - Validation comment
 - IHC
 
- Submitted by
 - OriGene (provider)
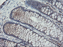
 - Main image
 
- Experimental details
 - Immunohistochemical staining of paraffin-embedded Human colon tissue within the normal limits using anti-CPA2 mouse monoclonal antibody. (Heat-induced epitope retrieval by 10mM citric buffer, pH6.0, 100C for 10min, TA504622)
 - Validation comment
 - IHC
 
							
					Supportive validation
					
									
				
		- Submitted by
 - OriGene (provider)
 - Main image
 
- Experimental details
 - HEK293T cells transfected with either RC202719 overexpress plasmid(Red) or empty vector control plasmid(Blue) were immunostained by anti-CPA2 antibody(TA504622), and then analyzed by flow cytometry.
 - Validation comment
 - FC