Antibody data
- Antibody Data
 - Antigen structure
 - References [0]
 - Comments [0]
 - Validations
 - Western blot [2]
 - Immunohistochemistry [16]
 
Submit
Validation data
Reference
Comment
Report error
- Product number
 - LS-C787132 - Provider product page

 - Provider
 - LSBio
 - Product name
 - CPA2 Antibody (clone OTI3D8, Carrier-free) LS-C787132
 - Antibody type
 - Monoclonal
 - Description
 - Purified from ascites.
 - Reactivity
 - Human, Mouse, Rat
 - Host
 - Mouse
 - Isotype
 - IgG
 - Antibody clone number
 - OTI3D8
 - Storage
 - Store at -20°C. Avoid freeze-thaw cycles.
 
				No comments: Submit comment	
	
			
							
					Enhanced validation
					
									
				
				- Submitted by
 - LSBio (provider)
 - Enhanced method
 - Genetic validation
 - Main image
 
- Experimental details
 - HEK293T cells were transfected with the pCMV6-ENTRY control (Left lane) or pCMV6-ENTRY CPA2 (Right lane) cDNA for 48 hrs and lysed. Equivalent amounts of cell lysates (5 ug per lane) were separated by SDS-PAGE and immunoblotted with anti-CPA2.
 
- Submitted by
 - LSBio (provider)
 - Enhanced method
 - Genetic validation
 - Main image
 
- Experimental details
 - Western blot of extracts (35 ug) from 9 different cell lines by using g anti-CPA2 monoclonal antibody (HepG2: human; HeLa: human; SVT2: mouse; A549: human; COS7: monkey; Jurkat: human; MDCK: canine; PC12: rat; MCF7: human).
 
							
					Enhanced validation
					
									
				
		- Submitted by
 - LSBio (provider)
 - Enhanced method
 - Genetic validation
 - Main image
 
- Experimental details
 - IHC of paraffin-embedded Human colon tissue using anti-CPA2 mouse monoclonal antibody.
 
- Submitted by
 - LSBio (provider)
 - Enhanced method
 - Genetic validation
 - Main image
 
- Experimental details
 - IHC of paraffin-embedded Adenocarcinoma of Human endometrium tissue using anti-CPA2 mouse monoclonal antibody.
 
- Submitted by
 - LSBio (provider)
 - Enhanced method
 - Genetic validation
 - Main image
 
- Experimental details
 - IHC of paraffin-embedded Human colon tissue using anti-CPA2 mouse monoclonal antibody.
 
- Submitted by
 - LSBio (provider)
 - Enhanced method
 - Genetic validation
 - Main image
 
- Experimental details
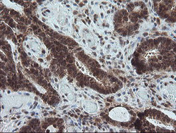
 - IHC of paraffin-embedded Adenocarcinoma of Human colon tissue using anti-CPA2 mouse monoclonal antibody.
 
- Submitted by
 - LSBio (provider)
 - Enhanced method
 - Genetic validation
 - Main image
 
- Experimental details
 - IHC of paraffin-embedded Human liver tissue using anti-CPA2 mouse monoclonal antibody.
 
- Submitted by
 - LSBio (provider)
 - Enhanced method
 - Genetic validation
 - Main image
 
- Experimental details
 - IHC of paraffin-embedded Adenocarcinoma of Human ovary tissue using anti-CPA2 mouse monoclonal antibody.
 
- Submitted by
 - LSBio (provider)
 - Enhanced method
 - Genetic validation
 - Main image
 
- Experimental details
 - IHC of paraffin-embedded Human pancreas tissue using anti-CPA2 mouse monoclonal antibody.
 
- Submitted by
 - LSBio (provider)
 - Enhanced method
 - Genetic validation
 - Main image
 
- Experimental details
 - IHC of paraffin-embedded Adenocarcinoma of Human endometrium tissue using anti-CPA2 mouse monoclonal antibody.
 
- Submitted by
 - LSBio (provider)
 - Enhanced method
 - Genetic validation
 - Main image
 
- Experimental details
 - IHC of paraffin-embedded Human breast tissue using anti-CPA2 mouse monoclonal antibody.
 
- Submitted by
 - LSBio (provider)
 - Main image
 
- Experimental details
 - IHC of paraffin-embedded Human breast tissue using anti-CPA2 mouse monoclonal antibody.
 
- Submitted by
 - LSBio (provider)
 - Main image
 
- Experimental details
 - IHC of paraffin-embedded Human colon tissue using anti-CPA2 mouse monoclonal antibody.
 
- Submitted by
 - LSBio (provider)
 - Main image
 
- Experimental details
 - IHC of paraffin-embedded Adenocarcinoma of Human colon tissue using anti-CPA2 mouse monoclonal antibody.
 
- Submitted by
 - LSBio (provider)
 - Main image
 
- Experimental details
 - IHC of paraffin-embedded Human liver tissue using anti-CPA2 mouse monoclonal antibody.
 
- Submitted by
 - LSBio (provider)
 - Main image
 
- Experimental details
 - IHC of paraffin-embedded Adenocarcinoma of Human ovary tissue using anti-CPA2 mouse monoclonal antibody.
 
- Submitted by
 - LSBio (provider)
 - Main image
 
- Experimental details
 - IHC of paraffin-embedded Human pancreas tissue using anti-CPA2 mouse monoclonal antibody.
 
- Submitted by
 - LSBio (provider)
 - Main image
 
- Experimental details
 - IHC of paraffin-embedded Adenocarcinoma of Human endometrium tissue using anti-CPA2 mouse monoclonal antibody.