Antibody data
- Antibody Data
- Antigen structure
- References [0]
- Comments [0]
- Validations
- Western blot [5]
- Immunohistochemistry [2]
Submit
Validation data
Reference
Comment
Report error
- Product number
- 26824-1-AP - Provider product page 
- Provider
- Invitrogen Antibodies
- Product name
- CPA4 Polyclonal Antibody
- Antibody type
- Polyclonal
- Antigen
- Other
- Reactivity
- Human
- Host
- Rabbit
- Isotype
- IgG
- Vial size
- 150 µL
- Concentration
- 0.53 mg/mL
- Storage
- -20°C
				No comments: Submit comment	
	
			
							
					Supportive validation
					
									
				
				- Submitted by
- Invitrogen Antibodies (provider)
- Main image
 
- Experimental details
- Mouse heart tissue were subjected to SDS PAGE followed by western blot with 26824-1-AP ( CPA4 Antibody) at dilution of 1:600 incubated at room temperature for 1.5 hours.
- Submitted by
- Invitrogen Antibodies (provider)
- Main image
 
- Experimental details
- HepG2 cells were subjected to SDS PAGE followed by western blot with 26824-1-AP (CPA4 antibody) at dilution of 1:1000 incubated at room temperature for 1.5 hours.
- Submitted by
- Invitrogen Antibodies (provider)
- Main image
 
- Experimental details
- Mouse kidney tissue were subjected to SDS PAGE followed by western blot with 26824-1-AP (CPA4 Antibody) at dilution of 1:600 incubated at room temperature for 1.5 hours.
- Submitted by
- Invitrogen Antibodies (provider)
- Main image
 
- Experimental details
- A549 cells were subjected to SDS PAGE followed by western blot with 26824-1-AP (CPA4 Antibody) at dilution of 1:1000 incubated at room temperature for 1.5 hours.
- Submitted by
- Invitrogen Antibodies (provider)
- Main image
 
- Experimental details
- SMMC-7721 cells were subjected to SDS PAGE followed by western blot with 26824-1-AP (CPA4 Antibody) at dilution of 1:1000 incubated at room temperature for 1.5 hours.
							
					Supportive validation
					
									
				
		- Submitted by
- Invitrogen Antibodies (provider)
- Main image
 
- Experimental details
- Immunohistochemistry of paraffin-embedded human lung cancer tissue slide using 26824-1-AP ( CPA4 Antibody) at dilution of 1:200 (under 10x lens). heat mediated antigen retrieved with Tris-EDTA buffer (pH 9).
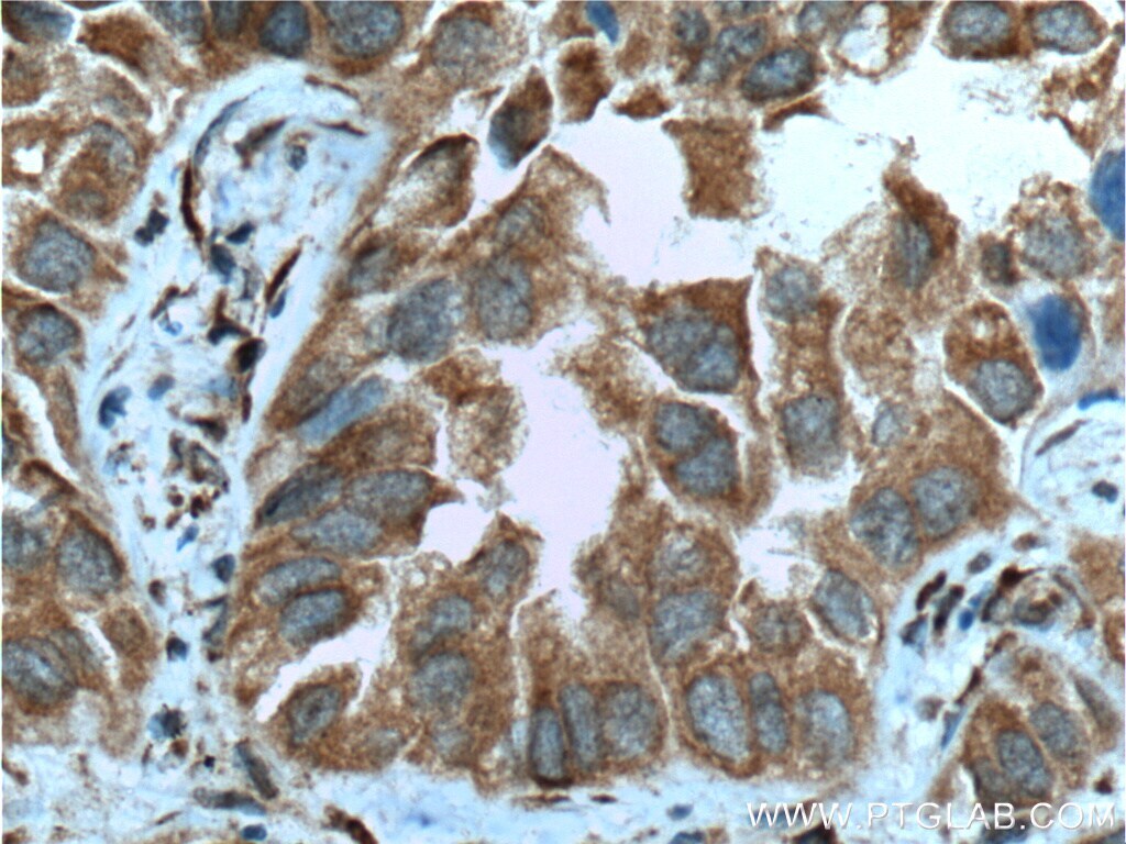
- Submitted by
- Invitrogen Antibodies (provider)
- Main image
 
- Experimental details
- Immunohistochemistry of paraffin-embedded human lung cancer tissue slide using 26824-1-AP ( CPA4 Antibody) at dilution of 1:200 (under 40x lens). heat mediated antigen retrieved with Tris-EDTA buffer (pH 9).