Antibody data
- Antibody Data
- Antigen structure
- References [1]
- Comments [0]
- Validations
- Western blot [2]
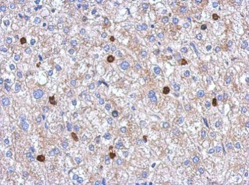
- Immunohistochemistry [1]
Submit
Validation data
Reference
Comment
Report error
- Product number
- GTX102041 - Provider product page

- Provider
- GeneTex
- Proper citation
- GeneTex Cat#GTX102041, RRID:AB_10720166
- Product name
- MYST2 antibody [N2C1], Internal
- Antibody type
- Polyclonal
- Reactivity
- Human, Mouse
- Host
- Rabbit
Submitted references Human T-cell leukemia virus type-1-encoded protein HBZ represses p53 function by inhibiting the acetyltransferase activity of p300/CBP and HBO1.
Wright DG, Marchal C, Hoang K, Ankney JA, Nguyen ST, Rushing AW, Polakowski N, Miotto B, Lemasson I
Oncotarget 2016 Jan 12;7(2):1687-706
Oncotarget 2016 Jan 12;7(2):1687-706
No comments: Submit comment
Supportive validation
- Submitted by
- GeneTex (provider)
- Main image

- Experimental details
- Sample (30 ug of whole cell lysate) A: MCF-7 7.5% SDS PAGE GTX102041 diluted at 1:1000
- Submitted by
- GeneTex (provider)
- Main image

- Experimental details
- Sample (50 ug of whole cell lysate) A: Mouse brain 7.5% SDS PAGE GTX102041 diluted at 1:1000
Supportive validation
- Submitted by
- GeneTex (provider)
- Main image

- Experimental details
- Immunohistochemical analysis of paraffin-embedded human hepatoma, using MYST2(GTX102041) antibody at 1:250 dilution.