Antibody data
- Antibody Data
- Antigen structure
- References [1]
- Comments [0]
- Validations
- Western blot [1]
- Immunohistochemistry [1]
Submit
Validation data
Reference
Comment
Report error
- Product number
- ABIN252449 - Provider product page

- Provider
- antibodies-online
- Product name
- anti-Metastasis Associated 1 Family, Member 2 (MTA2) antibody
- Antibody type
- Polyclonal
- Description
- Immunogen affinity purified
- Reactivity
- Human, Simian
- Host
- Rabbit
- Isotype
- IgG
- Vial size
- 0.1 mg
- Storage
- Store at 4°C short term. Aliquot and store at -20°C long term. Avoid freeze-thaw cycles.
- Handling
- Avoid freeze-thaw cycles
Submitted references Mta2 promotes Tipin-dependent maintenance of replication fork integrity.
Errico A, Aze A, Costanzo V
Cell cycle (Georgetown, Tex.) 2014;13(13):2120-8
Cell cycle (Georgetown, Tex.) 2014;13(13):2120-8
No comments: Submit comment
Supportive validation
- Submitted by
- antibodies-online (provider)
- Main image

- Experimental details
- WB
Supportive validation
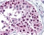
- Submitted by
- antibodies-online (provider)
- Main image

- Experimental details
- IHC