Antibody data
- Antibody Data
- Antigen structure
- References [6]
- Comments [0]
- Validations
- Western blot [2]
- Immunohistochemistry [1]
Submit
Validation data
Reference
Comment
Report error
- Product number
- AF2967 - Provider product page

- Provider
- Novus Biologicals
- Product name
- Goat Polyclonal MMP-7 Antibody
- Antibody type
- Polyclonal
- Description
- Immunogen affinity purified. Detects mouse MMP-7 in direct ELISAs and Western blots. In direct ELISAs, approximately 10% cross-reactivity with recombinant human MMP-7 is observed, and less than 2% cross-reactivity with recombinant mouse (rm) MMP-2, rmMMP-3, rmMMP-8, and rmMMP-9 is observed.
- Reactivity
- Mouse
- Host
- Goat
- Conjugate
- Unconjugated
- Isotype
- IgG
- Vial size
- 100 ug
- Concentration
- LYOPH
- Storage
- Use a manual defrost freezer and avoid repeated freeze-thaw cycles. 12 months from date of receipt, -20 to -70 degreesC as supplied. 1 month, 2 to 8 degreesC under sterile conditions after reconstitution. 6 months, -20 to -70 degreesC under sterile conditions after reconstitution.
Submitted references Parasitic helminths induce fetal-like reversion in the intestinal stem cell niche.
Canonical Wnt Signaling Ameliorates Aging of Intestinal Stem Cells.
Interleukin-17 promotes prostate cancer via MMP7-induced epithelial-to-mesenchymal transition.
Interleukin-17 promotes formation and growth of prostate adenocarcinoma in mouse models.
Matrix metalloproteinases contribute distinct roles in neuroendocrine prostate carcinogenesis, metastasis, and angiogenesis progression.
Matrix metalloproteinase 7 mediates mammary epithelial cell tumorigenesis through the ErbB4 receptor.
Nusse YM, Savage AK, Marangoni P, Rosendahl-Huber AKM, Landman TA, de Sauvage FJ, Locksley RM, Klein OD
Nature 2018 Jul;559(7712):109-113
Nature 2018 Jul;559(7712):109-113
Canonical Wnt Signaling Ameliorates Aging of Intestinal Stem Cells.
Nalapareddy K, Nattamai KJ, Kumar RS, Karns R, Wikenheiser-Brokamp KA, Sampson LL, Mahe MM, Sundaram N, Yacyshyn MB, Yacyshyn B, Helmrath MA, Zheng Y, Geiger H
Cell reports 2017 Mar 14;18(11):2608-2621
Cell reports 2017 Mar 14;18(11):2608-2621
Interleukin-17 promotes prostate cancer via MMP7-induced epithelial-to-mesenchymal transition.
Zhang Q, Liu S, Parajuli KR, Zhang W, Zhang K, Mo Z, Liu J, Chen Z, Yang S, Wang AR, Myers L, You Z
Oncogene 2017 Feb 2;36(5):687-699
Oncogene 2017 Feb 2;36(5):687-699
Interleukin-17 promotes formation and growth of prostate adenocarcinoma in mouse models.
Zhang Q, Liu S, Ge D, Zhang Q, Xue Y, Xiong Z, Abdel-Mageed AB, Myers L, Hill SM, Rowan BG, Sartor O, Melamed J, Chen Z, You Z
Cancer research 2012 May 15;72(10):2589-99
Cancer research 2012 May 15;72(10):2589-99
Matrix metalloproteinases contribute distinct roles in neuroendocrine prostate carcinogenesis, metastasis, and angiogenesis progression.
Littlepage LE, Sternlicht MD, Rougier N, Phillips J, Gallo E, Yu Y, Williams K, Brenot A, Gordon JI, Werb Z
Cancer research 2010 Mar 15;70(6):2224-34
Cancer research 2010 Mar 15;70(6):2224-34
Matrix metalloproteinase 7 mediates mammary epithelial cell tumorigenesis through the ErbB4 receptor.
Lynch CC, Vargo-Gogola T, Martin MD, Fingleton B, Crawford HC, Matrisian LM
Cancer research 2007 Jul 15;67(14):6760-7
Cancer research 2007 Jul 15;67(14):6760-7
No comments: Submit comment
Supportive validation
- Submitted by
- Novus Biologicals (provider)
- Main image

- Experimental details
- Detection of Mouse MMP-7 by Western Blot. Western blot shows lysates of mouse small intestine tissue. PVDF Membrane was probed with 1 µg/mL of Goat Anti-Mouse MMP-7 Antigen Affinity-purified Polyclonal Antibody (Catalog # AF2967) followed by HRP-conjugated Anti-Goat IgG Secondary Antibody (Catalog # HAF019). A specific band was detected for MMP-7 at approximately 28 kDa (as indicated). This experiment was conducted under reducing conditions and using Immunoblot Buffer Group 8.
- Submitted by
- Novus Biologicals (provider)
- Main image

- Experimental details
- Detection of Mouse MMP-7 by Simple WesternTM. Simple Western lane view shows lysates of mouse small intestine tissue, loaded at 0.2 mg/mL. A specific band was detected for MMP-7 at approximately 25 kDa (as indicated) using 50 µg/mL of Goat Anti-Mouse MMP-7 Antigen Affinity-purified Polyclonal Antibody (Catalog # AF2967) followed by 1:50 dilution of HRP-conjugated Anti-Goat IgG Secondary Antibody (Catalog # HAF109). This experiment was conducted under reducing conditions and using the 12-230 kDa separation system. Non-specific interaction with the 230 kDa Simple Western standard may be seen with this antibody.
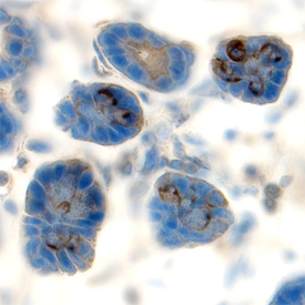
Supportive validation
- Submitted by
- Novus Biologicals (provider)
- Main image

- Experimental details
- MMP-7 in Mouse Intestine. MMP-7 was detected in perfusion fixed frozen sections of mouse small intestine using Goat Anti-Mouse MMP-7 Antigen Affinity-purified Polyclonal Antibody (Catalog # AF2967) at 15 µg/mL overnight at 4 °C. Tissue was stained using the Anti-Goat HRP-DAB Cell & Tissue Staining Kit (brown; Catalog # CTS008) and counterstained with hematoxylin (blue). Specific labeling was localized to the cytoplasm of cells in intestinal glands. View our protocol for Chromogenic IHC Staining of Frozen Tissue Sections.